February 2026 Issue HighlightsJCO INTERVIEWSDr. Dirk Wiechmann on Lingual Orthodontics: Part IDr. Wiechmann and Dr. Björn Ludwig discuss the evolution of completely customized lingual appliances, differences between European and U.S. markets, and the biomechanics underlying precision lingual treatment. This first of a two-part interview reviews the development and clinical principles of individualized lingual systems.
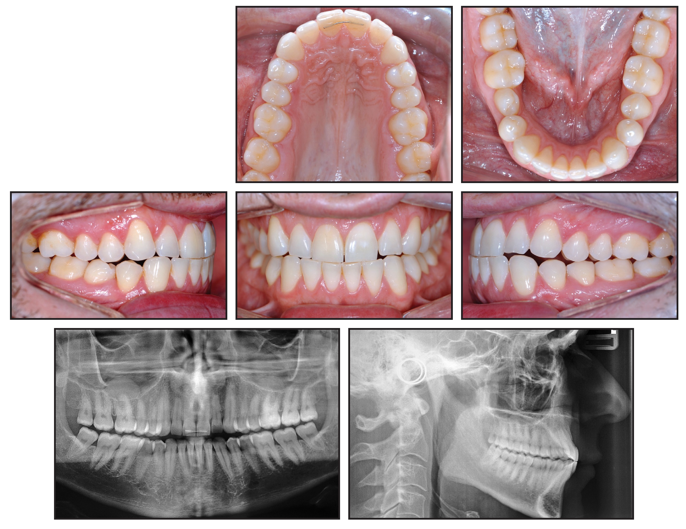
February 2026 Issue HighlightsOVERVIEWBiomechanical Principles and Techniques for Management of Maxillary and Mandibular Second MolarsThe authors review orthodontic biomechanics used to control maxillary and mandibular second molars during comprehensive treatment. Emphasis is placed on anchorage considerations, torque control, bite-opening strategies, and clinical techniques for managing erupted, partially erupted, or impacted second molars.
February 2026 Issue HighlightsAngel Aligner Innovations for Unilateral Molar DistalizationAdvanced aligner materials, staged distalization protocols, and digital treatment planning are applied to unilateral molar distalization. The authors describe clinical mechanics and digital setup strategies that improve control of posterior movement during clear aligner therapy.
2026 JCO Student of the Year Competition Now Open!
Nominations for the 2026 Eugene L. Gottlieb JCO Student of the Year competition, presented by American Orthodontics, are now open! Any orthodontic department in the U.S. or Canada may nominate one student. Download the fact sheet, submission guidelines, and submission form for more information. Nomination deadline is Oct. 31!
Instant Survey
Orthodontic Innovation
What has been the most important orthodontic innovation of the past 25 years?