PEARLS
Double Traction for Lower- First-Molar Space Closure
Protraction of a lower molar through an edentulous space is particularly challenging. Archwire bends alone are often unable to prevent tipping and rotation of the molar. This Pearl offers a simple technique that provides lingual support during lower-molar protraction, thus improving the efficiency of space closure and avoiding unwanted tooth movement.
NEAL D. KRAVITZ, DMD, MS
Associate Editor for Pearls
Double Traction for Lower-First-Molar Space Closure
Space closure is perhaps the most challenging aspect of lower-first-molar-extraction cases, often limiting the rate of treatment progress.1 The tendency of lower second molars to tilt mesially and roll lingually as they are mesialized can be reduced by using full-size (.019" x .025") stainless steel archwires with MBT* brackets - which have less lingual crown torque than in other prescriptions - and Class II elastics, when appropriate, on the lingual side of the lower second molars.
Similar articles from the archive:
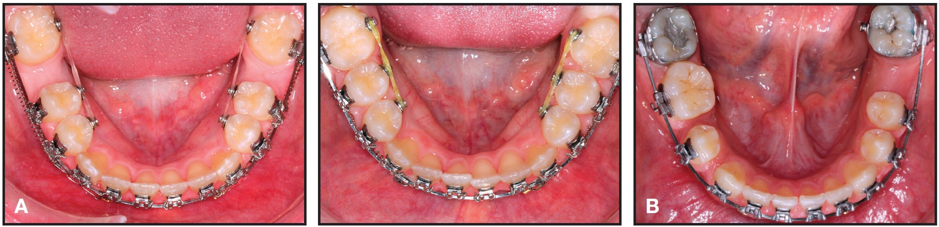
We have found another method that can significantly reduce the time needed for space closure while avoiding undesirable second-molar side effects: double-traction mechanics involving simultaneous lingual and buccal space-closing forces. First, bond lingual buttons to the lower second molar and premolars. Next, attach power chain to the lingual buttons, and add nickel titanium closing coils over the archwires between the second molars and premolars. This approach is demonstrated in a 13-year-old male patient, whose space closure required only four months (A). If bands are used instead of molar tubes, the lingual button can be spot-welded to the band (B).
FOOTNOTES
- *Trademark of 3M Unitek, Monrovia, CA; www.3Munitek.com.
REFERENCES
- 1. Sandler, P.J.; Atkinson, R.; and Murray, A.M.: For four sixes, Am. J. Orthod. 117:418-434, 2000.
 
			
 
                                 
                            





 
					