CASE REPORT
External Inflammatory Root Resorption Associated with a Traumatic Occlusion
External inflammatory root resorption (EIRR) is characterized by resorption gaps in the cementum and dentin, as detected by histologic techniques.1-4 Usually associated with infection, trauma, or systemic factors,5,6 EIRR can also be a sequela of orthodontic tooth movement.7 Although its etiology is complex and biologically variable, EIRR appears to result from a combination of external mechanical factors such as occlusal trauma.8 Therapeutic options are case-dependent, but are generally designed to eliminate the etiology and regenerate the absorbed tissue, thus preserving the long-term vitality of the natural tooth.9
This article describes the multidisciplinary treatment of an adult patient with EIRR.
Diagnosis
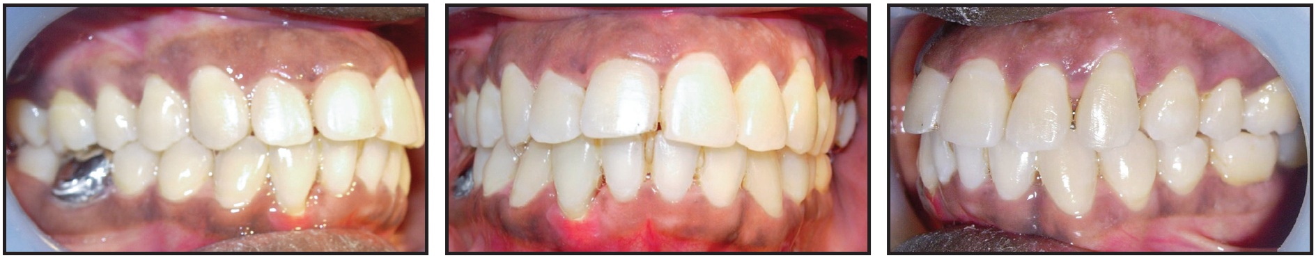
A 40-year-old male was referred by his dentist because of esthetic and functional problems. Intraoral examination showed lower anterior crowding accompanied by tartar deposits and a crossbite of the upper right lateral incisor with the lower right lateral incisor and canine (Fig. 1).
Similar articles from the archive:

Fig. 1 40-year-old male patient with lower anterior crowding and crossbite, deviation of mandibular midline, and inflammatory gingival recession of lower right lateral incisor before treatment.
The lower right lateral incisor exhibited Class II mobility and inflammatory gingival recession on the labial side. The patient had a Class I occlusal relationship with a 4mm overjet and a 2.5mm overbite; the mandibular midline was deviated to the right.
Functional examination revealed an abnormality in the path of closure, resulting in deviation of the mandible to the right. A masticatory dysfunction was indicated by the occlusal trauma to the lower right lateral incisor, but the panoramic radiograph showed no evidence of root lesions.
Treatment Progress
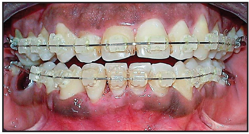
After an initial phase of dental scaling and polishing, orthodontic treatment began with .022" Roth-prescription brackets in both arches (Fig. 2).

Fig. 2 Initial bracket placement, with glass-ionomer-cement bite plane bonded to occlusal surfaces of upper first molars to unlock traumatogenic occlusion.
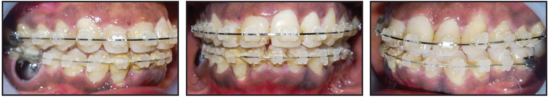
To unlock the occlusion, glass-ionomer-cement bite planes were bonded to the occlusal surfaces of the upper first molars. The archwire series consisted of flexible .016", .018", and .020" round coaxial wires, followed by preformed .016" and .018" round stainless steel wires. After five months of treatment, the mobility of the lower right lateral incisor persisted, despite the elimination of the traumatic occlusion (Fig. 3). Periodontal probing of the tooth's labial root surface revealed EIRR, which was confirmed with an occlusal radiograph (Fig. 4).
At this point, orthodontic treatment was interrupted so that periodontal therapy could be initiated. A buccal flap was raised to allow access to the injured root zone for open curettage of the EIRR (Fig. 5).

Fig. 3 Patient after five months of treatment, showing relief of traumatic occlusion and improved alignment.

Fig. 4 External inflammatory root resorption (EIRR) of lower right lateral incisor.

Fig. 5 Buccal flap raised for open curettage of lateral-incisor EIRR.
Since the curettage showed pulpal involvement in addition to the cementum and dentin resorption gaps, a root-canal treatment was performed (Fig. 6A). The root resorption gap was then sealed with glass ionomer cement (Fig. 6B), and the flap was closed with interdental sutures (Fig. 6C).

Fig. 6 A. Root-canal therapy of lower right lateral incisor. B. Resorption gaps sealed with glass ionomer cement. C. Flap closure with interdental sutures.
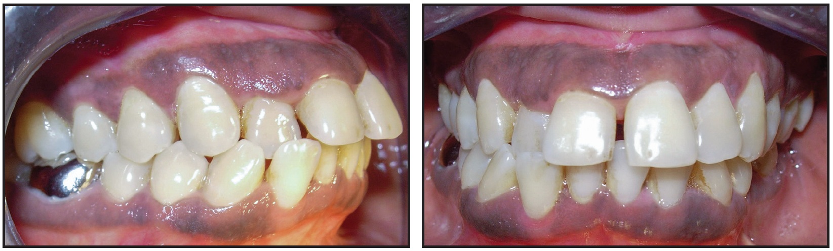
Six months later, a three-month phase of orthodontic finishing was carried out to close the residual spaces in the lower arch. A continuous elastomeric chain was placed from the lower right second molar to the lower left first molar, initially bypassing the right lateral incisor to minimize the forces on this tooth. After correction of the anterior crossbite and closure of residual spaces, the bite planes and fixed appliances were removed (Fig. 7). A normal overbite of about 2mm ensured stability of the anterior crossbite correction.

Fig. 7 After three months of orthodontic finishing, following six months of periodontal treatment and healing.
Treatment Results
During a total 14 months of treatment, the metal crown on the lower right first molar collapsed due to the heavier occlusal forces from the bite plane on the opposing upper molar. A new metal crown was placed at the end of treatment (Fig. 8).

Fig. 8 Patient after 14 months of treatment.
This multidisciplinary approach allowed the preservation of a compromised natural tooth while improving esthetics and function.
Discussion
According to several studies, dental trauma is an important risk factor for EIRR.10,11 The extreme force exerted at the moment of impact extends to move the tooth within its socket, compressing the periodontal ligament against the alveolar wall. When a periodontal ligament is lost due to acute trauma, EIRR appears to be a sequela of the healing process.12 But while it is commonly believed that teeth with a history of trauma are more likely than healthy teeth to show root resorption,13 Brin and colleagues did not find any statistical difference in root resorption between patients with and without occlusal trauma.14
Our patient's mandibular dental crowding made brushing difficult, resulting in the accumulation of plaque and tartar deposits on the proximal surfaces of the lower incisors and canines. Dental plaque causes gingival recession and inflammation, which can contribute to the formation of EIRR.
Orthodontic movements may also cause or worsen EIRR. The application of orthodontic force induces a local process that includes all aspects of inflammation--redness, swelling, pain, and heat.15 Although this inflammation is essential for tooth movement, it is also the fundamental component of the process leading to root resorption.16 Lupi and colleagues reported an EIRR prevalence of about 73% after orthodontic treatment, compared to 15% before treatment.17 The degree of EIRR also depends on the duration, intensity, frequency, and direction of the applied force, as well as the type of orthodontic mechanics. Baumrind and colleagues measured a progression of .38mm of resorption per year during orthodontic treatment.18 Levander and Malmgren found significant differences in EIRR among groups treated orthodontically for one year or less, one to two years, or two years or longer, confirming an association between the duration of treatment and EIRR.19 On the other hand, Mirabella and Artun maintained that orthodontic appliances can be left in place for a long period without generating a force on the teeth.20 These studies indicate that root resorption cannot be predicted by orthodontic treatment time alone. In the case shown here, the patient exhibited EIRR after only five months of treatment.
A systematic review by Weltman and colleagues found that heavy orthodontic forces produced more EIRR than light forces,21 probably due to a faster development of resorption gaps and a compromised process of tissue repair.22 Conversely, Owman-Moll and colleagues reported no difference in the frequency or severity of root resorption when doubling and quadrupling orthodontic forces from 50cN (about 50g).23 The latter results should be interpreted with caution, however, because the selection criteria were not well defined and external factors that might have predisposed teeth to root resorption were not excluded. Our patient was treated with a succession of flexible round coaxial wires, followed by light round stainless steel wires. Because the archwires were narrower than the .022" x .028" bracket slots, there was always a degree of freedom to reduce friction and the intensity of forces transmitted to the teeth. Moreover, the molar bite planes placed early in treatment prevented any occlusal interference that might have hindered dental movements.
Weiland7 and Konoo and colleagues24 observed less root resorption with discontinuous orthodontic force than with continuous forces. Interruption of forces for two or three months (using a passive archwire) apparently permits the healing of cementum and prevents further resorption.21 We suspended the application of forces on the lower lateral incisor for six months after endodontic-periodontal treatment, allowing restoration of the damaged root surface. Owman-Moll and colleagues found no significant difference in subsequent root resorption between teeth displaced with continuous force vs. discontinuous force.25
Orthodontic tooth movements are facilitated by osteoclastic resorption of the alveolar bone facing the periodontal ligament, so that the roots move in the direction of the applied force.26 This area of compressed tissue, which often becomes necrotic, also contains the multinucleated odontoclasts involved in root resorption.18 The orthodontic movement of the lower lateral incisor shown here was a linguoversion (rotational movement around the center of rotation, located at about the middle of the root). Such a force application would compress the periodontal ligament facing the lingual surface of the root above the center of rotation, as well as the labial surface below the center of rotation, promoting resorption of the alveolar bone in those areas. Any EIRR caused by the orthodontic forces should therefore have been evident on the lingual root surface above the center of rotation and on the buccal root surface below the center of rotation, facing the compression zones of the periodontal ligament. In actuality, however, we observed EIRR on the labial surface above the center of rotation of the right lateral incisor. Therefore, the root resorption was more likely attributable to the pretreatment occlusal trauma than to the orthodontic forces used.
Conclusion
EIRR can be prevented in an orthodontic patient by correcting a traumatogenic occlusion and by controlling dental plaque. Forces should be applied carefully in patients who have experienced occlusal trauma. The use of three-dimensional diagnostic methods such as cone-beam computed tomography before and during orthodontic treatment might help in early detection of EIRR. When severe EIRR is noted, the treatment plan must be reevaluated with the patient; alternative solutions include discontinuation of the forces on affected teeth, sealing of the resorbed area with a biocompatible material, and placement of a fixed retainer for the affected teeth. If none of these procedures is successful, prosthetic replacement should be considered.
REFERENCES
- 1. Trope, M.: Root resorption of dental traumatic origin: Classification based on etiology, Pract. Period. Aesth. Dent. 10:515-522, 1998.
- 2. Fuss, Z.; Tsesis, I.; and Lin, S.: Root resorption: Diagnosis, classification and treatment choices based on stimulation factors, Dent. Traumatol. 19:175-182, 2003.
- 3. Brezniak, N. and Wasserstein, A.: Orthodontically induced inflammatory root resorption, Part 1: The basic science aspects, Angle Orthod. 72:175-179, 2002.
- 4. Hartsfield, J.K. Jr.; Everett, E.T.; and Al-Qawasmi, R.A.: Genetic factors in external apical root resorption and orthodontic treatment, Crit. Rev. Oral Biol. Med. 15:115-122, 2004.
- 5. Kindelan, S.A.; Day, P.F.; Kindelan, J.D.; Spencer, J.R.; and Duggal, M.S.: Dental trauma: An overview of its influence on the management of orthodontic treatment, Part 1, J. Orthod. 35:68-78, 2008.
- 6. Al-Qawasmi, R.A.; Hartsfield, J.K. Jr.; Everett, E.T.; Flury, L.; Liu, L.; Foroud, T.M.; Macri, J.V.; and Roberts, W.E.: Genetic predisposition to external apical root resorption in orthodontic patients: Linkage of chromosome-18 marker, J. Dent. Res. 82:356-360, 2003.
- 7. Weiland, F.: Constant versus dissipating forces in orthodontics: The effect on initial tooth movement and root resorption, Eur. J. Orthod. 25:335-342, 2003.
- 8. Al-Qawasmi, R.A.; Hartsfield, J.K. Jr.; Everett, E.T.; Flury, L.; Liu, L.; Foroud, T.M.; Macri, J.V.; and Roberts, W.E.: Genetic predisposition to external apical root resorption, Am. J. Orthod. 123:242-252, 2003.
- 9. Jönsson, A.; Malmgren, O.; and Levander, E.: Long-term follow-up of tooth mobility in maxillary incisors with orthodontically induced apical root resorption, Eur. J. Orthod. 29:482-487, 2007.
- 10. Malmgren, O.; Goldson, L.; Hill, C.; Orwin, A.; Petrini, L.; and Lundberg, M.: Root resorption after orthodontic treatment of traumatized teeth, Am. J. Orthod. 82:487-491, 1982.
- 11. Hamilton, R.S. and Gutmann, J.L.: Endodontic-orthodontic relationships: A review of integrated treatment planning challenges, Int. Endod. J. 32:343-360, 1999.
- 12. Andreasen, J.O. and Andreasen, F.M.: Root resorption following traumatic dental injuries, Proc. Finn. Dent. Soc. 88:95-114, 1992.
- 13. Andreasen, J.O.: External root resorption: Its implication in dental traumatology, paedodontics, periodontics, orthodontics and endodontics, Int. Endod. J. 18:109-118, 1985.
- 14. Brin, I.; Tulloch, J.F.; Koroluk, L.; and Philips, C.: External apical root resorption in Class II malocclusion: A retrospective review of 1- versus 2-phase treatment, Am. J. Orthod. 124:151-156, 2003.
- 15. Stedman’s Medical Dictionary, 24th ed., Williams & Wilkins, Baltimore, 1982.
- 16. Bosshardt, D.D.; Maseredjian, V.; and Nanci, A.: Root resorption and tissue repair in orthodontically treated human premolars, in Biological Mechanisms of Tooth Eruption, Resorption and Replacement by Implants, ed. Z. Davidovitch and J. Mah, Harvard Society for the Advancement of Orthodontics, Boston, 1998, pp. 425-437.
- 17. Lupi, J.E.; Handelman, C.S.; and Sadowsky, C.: Prevalence and severity of apical root resorption and alveolar bone loss in orthodontically treated adults, Am. J. Orthod. 109:28-37, 1996.
- 18. Baumrind, S.; Korn, E.L.; and Boyd, R.L.: Apical root resorption in orthodontically treated adults, Am. J. Orthod. 110:311-320, 1996.
- 19. Levander, E. and Malmgren, O.: Evaluation of the risk of root resorption during orthodontic treatment: A study of upper incisors, Eur. J. Orthod. 10:30-38, 1998.
- 20. Mirabella, A.D. and Artun, J.: Risk factors for apical root resorption of maxillary anterior teeth in adult orthodontic patients, Am. J. Orthod. 108:48-55, 1995.
- 21. Weltman, B.; Vig, K.W.; Fields, H.W.; Shanker, S.; and Kaizar, E.E.: Root resorption associated with orthodontic tooth movement: A systematic review, Am. J. Orthod. 137:462-476, 2010.
- 22. Chan, E. and Darendeliler, M.A.: Physical properties of root cementum, Part 5: Volumetric analysis of root resorption craters after application of light and heavy orthodontic forces, Am. J. Orthod. 127:186-195, 2005.
- 23. Owman-Moll, P.; Kurol, J.; and Lundgren, D.: Effects of a doubled orthodontic force magnitude on tooth movement and root resorption: An inter-individual study in adolescents, Eur. J. Orthod. 18:141-150, 1996.
- 24. Konoo, T.; Kim, Y.J.; Gu, G.M.; and King, G.J.: Intermittent force in orthodontic tooth movement, J. Dent. Res. 80:457-460, 2001.
- 25. Owman-Moll, P.; Kurol, J.; and Lundgren, D.: Continuous versus interrupted continuous orthodontic force related to early tooth movement and root resorption, Angle Orthod. 65:395-401, 1995.
- 26. Reitan, K.: Tissue behavior during orthodontic tooth movement, Am. J. Orthod. 46:881-890, 1960.