Favorite Saved

DIAGNOSTIC CHALLENGE #1

Part 1

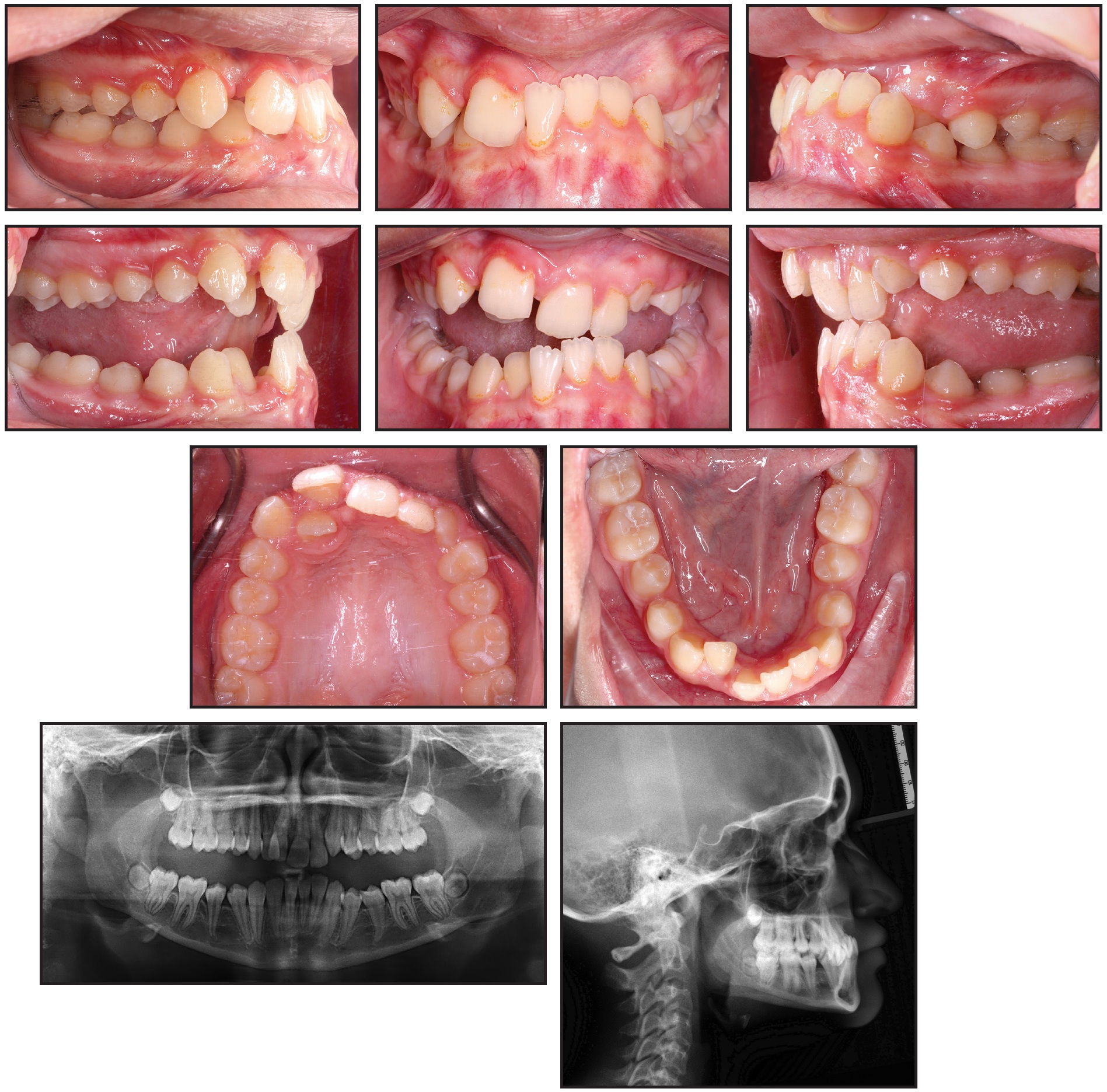
In this monthly column, Contributing Editors Gayle Glenn, DDS, MSD, and Shawn L. Miller, DMD, MMSc, present a case to challenge your diagnosis and treatment-planning skills. Review the initial records below, and go to the comments section at the bottom of the page to share your thoughts. In the next issue, Dr. Glenn and Dr. Miller will discuss how the case was treated.

Courtesy of University at Buffalo

Click for larger views of Figure A and Figure B.

  • ALIYYAH
    DR. HAMIDUDDIN
  • STEPHEN
    DR. WARUNEK

Dr. Hamiduddin was a Resident and Dr. Warunek is Clinical Assistant Professor and Orthodontics Research Director, Orthodontic Department, University of Buffalo School of Dental Medicine, Buffalo, New York. Dr. Hamiduddin is now in Private Practice, 1827 Jeffersonian Drive, Vienna, VA, 22182. E-mail her at aliyyah.hamiduddin@gmail.com.

COMMENTS

.

There was a problem...

Fig. A
Fig. B

DR. ALIYYAH HAMIDUDDIN BDS, MS

DR. ALIYYAH HAMIDUDDIN BDS, MS

DR. STEPHEN WARUNEK DDS, MS

DR. STEPHEN WARUNEK DDS, MS

My Account

This is currently not available. Please check back later.

Please contact heather@jco-online.com for any changes to your account.