Placing a nickel titanium open-coil spring between the first- and second-molar tubes is a common solution for uprighting impacted second molars. The problem with that technique is the limited access for insertion of the spring between the tubes. In this Pearl, the first-molar tube is replaced with a twin bracket.
SERGIO HERNAN VALVERDE MONTALVA, DDS, MS
Associate Editor for Pearls
Uprighting Mandibular Second Molars with Twin Brackets
Mandibular second-molar impactions occur in 2-3% of orthodontic patients (A).1 An open-coil spring is commonly placed between the first- and second-molar tubes on a nickel titanium archwire to upright the second molar. Because of the limited access, however, it can be challenging to simultaneously thread an archwire and compress the open-coil spring. This Pearl avoids the issue by substituting a twin bracket for the first-molar tube.
Technique
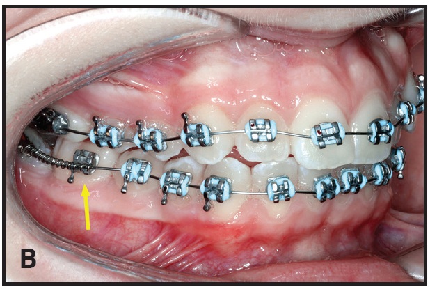
A mandibular second-premolar twin bracket is bonded to the mesiobuccal cusp of the first molar. The bracket’s curved base adapts nicely to the molar surface (B). Using a twin bracket instead of a standard first-molar tube makes it easier to thread the archwire through the second-molar tube and compress the open-coil spring (C). Moreover, the spring can be placed over the initial nickel titanium wire at the bonding appointment.
The second molar quickly uprights in one or two appointments (D). Note that a long cinch should always be placed at the end of the archwire (E).





Ideally, this patient’s third molars should have been extracted before treatment. That would have made the second-molar uprighting easier and prevented the third molar from becoming entrapped, which greatly complicated the subsequent extraction.
There are two popular variations of this Pearl. The first is to skip the first molar entirely and place a long-span open-coil spring between the bracket on the second premolar and the tube on the second molar. The length of the coil spring may require a heavier archwire. The second approach is to use a self-ligating tube on the first molar. Both methods work well for immediate second-molar uprighting.
COMMENTS
.