The Scorpion Appliance: A Physiologically Designed Habit Appliance
Operating at Peak Efficiency
Over the years, my staff has always had to pester me to “Keep moving!” whenever I stop to talk to a patient or a parent about something other than orthodontics. Even if it may seem unproductive, however, the personal touch has done more to grow my practice than any marketing scheme ever has. What’s more, the bonds and friendships I have formed as a result of these unhurried, enjoyable chats are among the most treasured rewards of my many years in practice. Person-to-person sincerity is the key to success in orthodontics—and pretty much every other aspect of life. But to free up time for these valuable doctor-patient interactions, we must constantly review our clinical procedures to maximize practice efficiency.
The current Merriam-Webster online dictionary defines “efficiency” as “effective operation as measured by a comparison of production with cost (as in energy, time, and money).” By definition, then, efficiency in patient treatment is a highly desirable attribute of any practice. The less overall doctor, staff, and office time spent in the actual treatment of a case—while still meeting the highest standards of care—the more time can be spent on building interpersonal relationships, as well as on one’s own family and other interests and pursuits.
In this month’s issue of JCO, you will find several examples of procedures that can enhance office efficiency. In an article entitled “Digital Smile Design and Orthodontic Finishing with the Insignia System,” Drs. Nasib Balut, Paulina Popnikolov, and Amin Ades point out that “many patients now come to us expecting not only optimal results, but results obtained in less time.” Perhaps the foremost cause for patients or their parents to refuse a treatment plan, other than cost, is the time involved. It is not uncommon for interdisciplinary patients referred for preprosthetic orthodontics to gasp in surprise when they learn how long treatment might take. Balut and colleagues demonstrate the highly efficient Insignia system, in which the appliance prescription is manufactured into the brackets and archwires for each patient. Prior research cited by the authors found an average treatment time per case of 14 months with the Insignia system, compared with 23 months for other systems. The case they present is impressive in terms of both efficiency and results.
Similar articles from the archive:
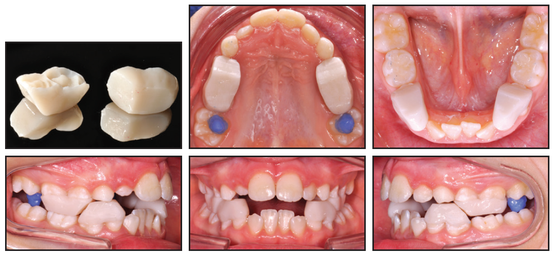
Careful treatment planning, sometimes involving unorthodox extraction patterns and other such creative, non-appliance-dependent approaches, can also benefit practice efficiency. Drs. Jong-Hun Lee and Hyo-Sang Park present two cases in which the lower second and third molars were protracted after first-molar extractions. In my experience, such cases can drag on for years. In one of the authors’ patients, however, the first molar was hemisected, and the mesial root was left in place to minimize the risk of alveolar atrophy until the second and third molars were sufficiently protracted. Space closure in that case was completed in a more efficient manner by this simple expedient.
Two-phase treatment of Class II cases can be a particular challenge when it comes to practice efficiency. As observed by Dr. Héctor Luis Rodríguez in his article, “Long-Term Stability of Two-Phase Class II Treatment with the Carriere Motion Appliance,” “The optimal timing for treatment of Class II malocclusions remains controversial. Some clinicians believe strongly that it is advantageous to begin treatment in the mixed dentition before adolescence, while others are convinced that early treatment is often redundant.” Many practitioners I know have refused to perform two-phase treatment because of the overall time required. Research has shown that two-phase treatment is less efficient than single-stage comprehensive treatment, resulting in a lower profit margin per case.1,2 Still, many practitioners see a physiological advantage to two-phase treatment, especially in skeletal Class II cases. This has created a demand for a more efficient way of delivering such treatment. The Carriere Motion Appliance has become increasingly popular because it avoids the inefficiency of headgear and other Class II modalities that depend on patient compliance. There is no arguing that Dr. Rodríguez’s case shows a beautiful outcome while having been treated as efficiently as possible over two phases.
The efficiency of orthodontic delivery can be improved in a wide variety of creative ways, benefiting both doctor and patient. Application of the ideas and techniques presented in this issue of JCO would enhance the efficiency of any orthodontic practice.
RGK
