Favorite Saved

THE EDITOR'S CORNER

Advice for the Graduate

The late spring is always a busy and happy time on college campuses. Students are ecstatic about coming to the end of their courses of study and beginning their new lives--whether that means entering the job market, going into the service, or continuing on to graduate school. As I write this, I am surrounded by recent graduates of the University of Southern California. I can't help but think back on the day I graduated from my orthodontic training program at the Eastman Dental Center of the University of Rochester, New York. I have to ask myself, if Old Bob could have given Young Bob some advice on that long-ago graduation day, what would it be?

First of all, Young Bob, you don't know it all. You may have just completed a prestigious post-DDS specialty training program conducted by some of the most gifted and skilled instructors in the world. That specialty education followed a rigorous four-year DDS program, which, in turn, came after a rigorous four-year bachelor's degree program in biology and chemistry. You have every right to be a little cocky and to assume that you have the hottest education on the market. Trust me: what you know now is only the tip of the iceberg. You will learn more about orthodontics, business, and life in general over the next 12 months than you have learned in the previous 30 years. If you do nothing else, at least keep your eyes, ears, and mind wide open. This philosophy holds as true for me now, as I approach retirement, as it did way back then on graduation day.

Next, above all else, always, always, always maintain your integrity. You have a passion for helping your patients, and you want them to like you. Even when what they ask of you may not be the best way to handle things, you really want to please them and to help them in any way you can, including financially. Sometimes pleasing and helping demand two different treatment approaches. Compromising your clinical judgment and rendering care that may be less expensive or more limited--correcting just the "smilers"--may please your patients in the short term, but may not be the best solution for them in the long run. Adhering to your treatment ideals generally means delivering comprehensive treatment to the highest standard of care. In fact, you should consider every case to be an American Board of Orthodontics case. When you come to the end of your career, nothing could be more gratifying than to randomly select any of your post-treatment records and sincerely believe that you could submit them to the ABO. And that piece of advice leads me to another: pursue ABO certification as soon as possible.

Getting back to how much you know or don't know, your weakest suit is definitely your business sense, or lack thereof. I don't recall any courses you took in your ortho program or in dental school (or in college, for that matter) that will help you manage a business. Although some programs do offer classes on how to profitably run an orthodontic practice, most do not. I don't think it's possible to learn the realities of the business of orthodontics until you are put in the position of having to make a living and provide for your family. If the opportunity presents itself, I advise you to associate with an honest, idealistic senior practitioner who makes a comfortable living while maintaining a successful practice that is focused more on quality of care than on gross production. No doubt, you are carrying a heavy student-debt load. The money will come in time, and that time is not too distant. If you have to take a little less income to work for a wise practitioner, it will be worth the return in terms of everything you will learn about the business of our specialty.

The orthodontic salesmen and -women who come around may seem a little annoying at first. Once you get to know them, they may well turn out to be your best sources of not only technical information, but news about what's going on in the field. Even in our increasingly digital world, word of mouth is still the best way of staying up to date. After you learn which salespeople are honest and trustworthy, cultivate their friendship. It will prove to be both valuable and enjoyable.

Despite that heavy debt load, you should always give back. Give back to the schools that provided your education; most of them are in dire financial straits right now and need all the help they can get. Give back to your specialty; you have entered the greatest profession on Earth, and you should contribute to its ongoing success. Donate to the AAOF. Become active in your local dental and orthodontic associations. Serve on committees for your state and regional societies-besides meeting a need for volunteers, such service can be a lot of fun. Participate fully in everything the AAO has to offer; there isn't a better professional organization in the world. Give back to your community. Yes, your skills justify a handsome fee for every case you accept, but never forget those who have not been as fortunate in education or circumstance. Set aside a few of your cases every year for worthy pro bono care to those in need. Whatever financial losses you incur will be repaid 10 times over in ways you may not even realize for years to come.

Be a lifelong learner. Read not only JCO, but AJO and Angle and the other journals. Stay abreast of the international literature--some really good stuff comes from the rest of the world. Attend the annual sessions of your regional components and the AAO, where you will find the best orthodontic speakers on the planet. Keep attuned to developments in the rest of dentistry and medicine. The education you have just completed, while bright and shiny and new today, will lose its sheen so rapidly it will surprise you. One of the best ways to remain a lifelong learner is to become a lifelong teacher. Nothing keeps you on your toes more than working to educate some of the brightest young minds in the profession--people much like you are today.

Lastly, Young Bob, consider contributing to the literature. You will make discoveries as you go through your career, finding pearls that may well benefit both your profession and the general public. Even some highly skilled practitioners are terrified by the prospect of writing an article and submitting it for editorial review. We don't bite, and once you get the hang of it, writing can become a rewarding addiction. JCO would be happy to take a look at your material.

Good luck in your career, and keep in touch--we're all here to help.

Best regards, 
Old Bob

Fig. 1 Palatal implant with detachable upper unit. A. Unassembled implant. B. Assembled implant.
Fig. 2 Three types of upper units: with stainless steel plates, with .032" round wire, and with .032" square wire.
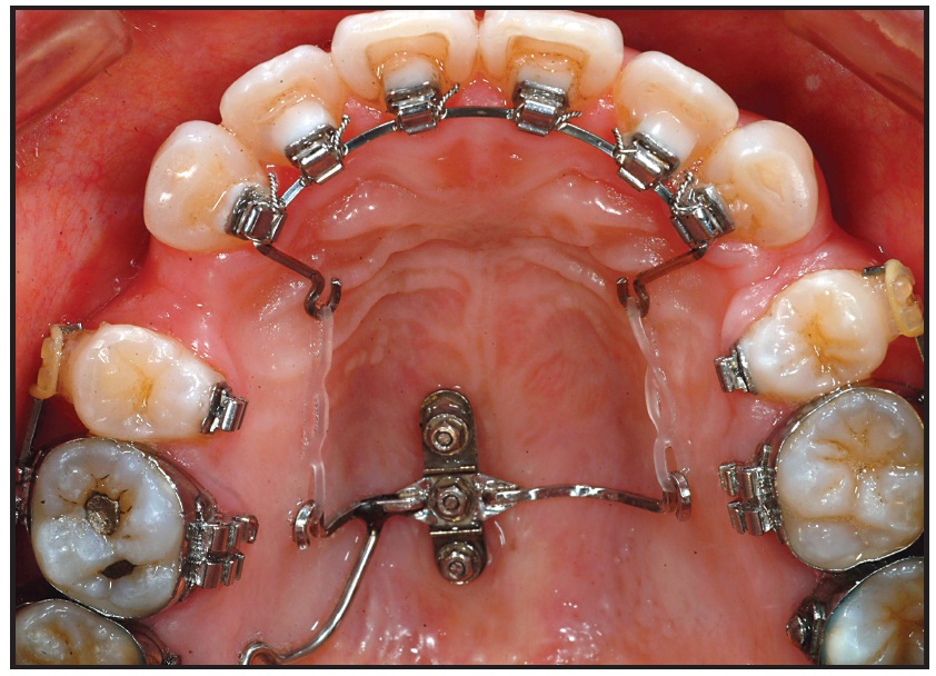
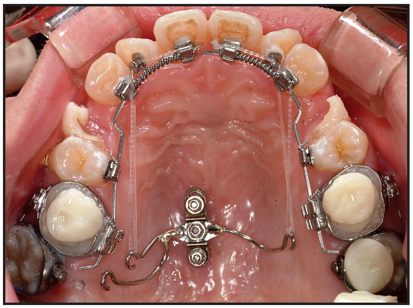
Fig. 3 Plate-type upper unit used for distal and lateral movement of left first and second molars.
Fig. 4 Round-wire upper unit used for reinforced anchorage of maxillary first molars.
Fig. 5 Square-wire upper unit used for distal movement of anterior and buccal segments.
Fig. 6 Two screws inserted in midpalate.
Fig. 7 Base plate placed over screws and fixed with nuts.
Fig. 8 29-year-old female patient with Class II, division 1 malocclusion, crowding, and buccal crossbite of right second molar before treatment.
Fig. 9 Maxillary canines moved distally with anchorage from midpalatal implant; right second molar intruded and moved lingually.
Fig. 10 Maxillary anterior segment moved distally.
Fig. 11 A. Patient after 24 months of active treatment. B. Superimposition of pre- and post-treatment cephalometric tracings.

DR. YASUHIRO ITSUKI DDS, PhD

DR. YASUHIRO  ITSUKI DDS, PhD

DR. EISAKU IMAMURA DDS

DR. EISAKU  IMAMURA DDS

My Account

This is currently not available. Please check back later.

Please contact heather@jco-online.com for any changes to your account.