Essix Plates for Anterior Anchorage Reinforcement
Class II nonextraction treatment involving headgear and Class II elastics often requires exceptional patient cooperation. As a result, more and more clinicians are prescribing "noncompliance" molar distalization appliances. These appliances have some negative side effects, however, including a significant loss of anchorage that can manifest itself in mesially tipped bicuspids, anteriorly inclined upper incisors, and increased overjet.1-3
The present article describes an alternative method for enhancing anterior anchorage with the First Class Appliance*4 or other intraoral molar distalization devices.
Case Report
A 22-year-old female with a Class II, division 2 malocclusion was referred to our clinic (Fig. 1). A nonextraction treatment plan was proposed, involving molar distalization with a First Class Appliance.
Similar articles from the archive:
- The Spider Screw for Skeletal Anchorage February 2003
- The Zygoma Anchorage System August 2002
- The Miniplate with Tube for Skeletal Anchorage July 2002

Fig. 1 22-year-old female with Class II, division 2 malocclusion.
An extra upper impression was taken for fabrication of an Essix** appliance (.080" Type A) from first premolar to first premolar. The patient was instructed to wear the Essix plate full-time except during meals (Fig. 2).

Fig. 2 First Class Appliance with Essix plate.
After two months, the molars had been moved distally enough that the First Class Appliance could be removed (Fig. 3).

Fig. 3 Molar distalization achieved in two months.

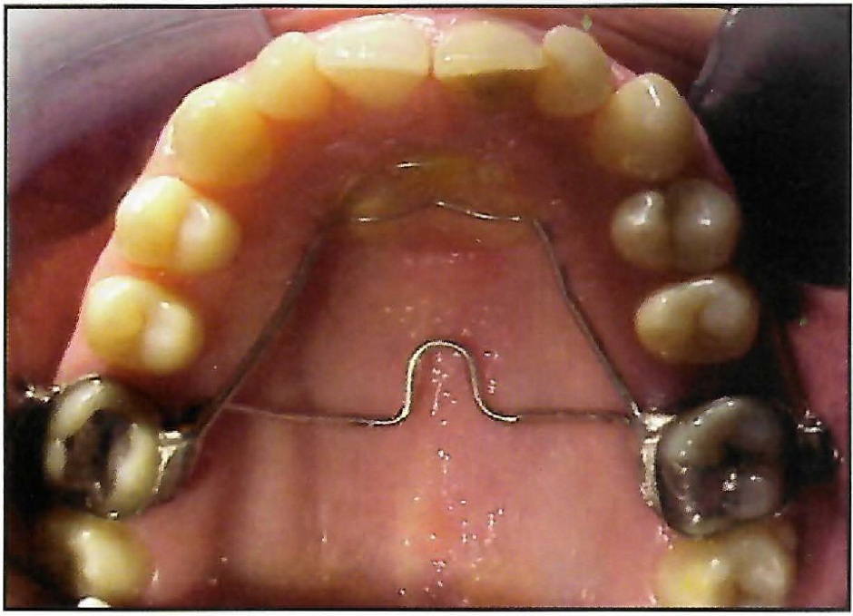
Fig. 4 Modified Nance appliance placed for stabilization of upper molars.
Discussion

Fig. 5 Superimposition of pre- and post- treatment cephalograms, showing upper molar distalization and negligible anchorage loss.
Reciprocal forces cause the premolars and incisors to move mesially during distal movement of the upper molars. Acrylic Nance buttons and full-bracketed appliances have been recommended to reinforce anchorage,5,6 but studies have shown that these methods cannot completely resist the mesial reciprocal forces.1-3 If the anterior segment does not drift distally within three or four months, a second phase of treatment may be required, usually involving compliance-dependent Class II elastics.
The primary goal of the simple technique presented in this article was to reinforce anterior anchorage by adding the first premolars, canines, and incisors to the anchorage unit. A secondary goal was to remove occlusal forces from the posterior teeth and thereby enhance the distal movement of the upper molars. In the case shown here, the molars were moved into a Class I relationship in two months with little mesial movement of the anterior segment.
Although fabrication of the Essix plate may be thought of as extra laboratory work, the appliance is easy to make. Various thicknesses of the Essix material are available to accommodate the bite-opening requirements of different patients. Because the appliance is esthetic, cooperation is generally excellent, and the plate can easily be removed for home cleaning.
With the anchorage loss kept within acceptable limits, there is no need to wait for distal drift of the anterior teeth or to initiate additional mechanotherapy for anterior retraction. The Essix plate described here can readily be adjusted for use with other intraoral molar distalization appliances.
FOOTNOTES
- *LeoneAmerica, 501 W. Van Buren St., Suite S, Avondale, AZ 85323.
- **Raintree Essix, Inc., 1071 S. Jeff Davis Parkway, New Orleans, LA 70125.
REFERENCES
- 1. Bondemark, L.; Kurol, J.; and Bernhold, M.: Repelling magnets versus superelastic nickel-titanium coils in simultaneous distal movement of maxillary first and second molars, Angle Orthod. 64:189-198, 1994.
- 2. Bussick, T.J. and McNamara, J.A. Jr.: Dentoalveolar and skeletal changes associated with the pendulum appliance, Am. J. Orthod. 117:333-343, 2000.
- 3. Ngantung, V.; Nanda, R.S.; and Bowman, S.J.: Posttreatment evaluation of the distal jet appliance, Am. J. Orthod. 120:178-185, 2001.
- 4. Fortini, A.; Lupoli, M.; and Parri, M.: The First Class Appliance for rapid molar distalization, J. Clin. Orthod. 33:322-328, 1999.
- 5. Hilgers, J.J.; The Pendulum Appliance for Class II non-compliance therapy, J. Clin. Orthod. 26:706-714, 1992.
- 6. Gianelly, A.A.: Distal movement of the maxillary molars, Am. J. Orthod. 114:66-72, 1998.