Favorite Saved

THE EDITOR'S CORNER

A Computer in the Hand

A Computer in the Hand

During the 1980s, many orthodontists incorporated desktop computers into their practices as the first step toward office automation. It soon became apparent, however, that one stand-alone personal computer was not enough to manage an orthodontic practice. Computer technology evolved to enable individual PCs to be connected into an electronic network. With this added capability, productivity increased to the point that even beginning orthodontists felt the need to computerize.

Now, well into the '90s, we face the next major technological change: portability. Computer power has been liberated from the desktop by the development of powerful new chips and software. Two forms of portability are emerging-- smaller, lighter laptop computers with all the functions of PCs, and computers wedded to wireless communication technology.

It is easy to find a precedent in the entertainment and communications fields for this shift from the desk to the hand. The Sony Walkman, the camcorder, the compact disc player, and the cellular telephone are all becoming commonplace. The United Parcel Service driver who comes to your office uses an electronic clipboard to record the time and location of each delivery. Hand-held Global Positioning System navigation devices, accurate to within 80', are being used in small airplanes, boats, and cars--even by hikers--to determine location and the distance and direction to any point in the world. It seems that any electronic device we use on a desk can be made small and light enough to travel with us. Only the computer keyboard has resisted miniaturization--limited by the size of a hand, not by technology.

First-generation portable computers, popularized by Compaq, were the size of portable sewing machines and weighed about 20 pounds. These machines were replaced by laptops that weighed 8-12 pounds. The present market leaders, known as notebook computers, measure not much more than 8"X10" and weigh from 7 to less than 2 pounds. Smaller devices called "electronic organizers" are not as fully functional as personal computers.

Perhaps the main deterrent to miniaturizing portable computers, or at least reducing their weight while adding functions, has been battery power. Batteries made of nickel metal hydride (NiMH) are twice as efficient as the familiar NiCad rechargeable batteries and are beginning to replace them in the newer portables. In addition, the components of portable devices, including the CPU and miniaturized hard disk drives, now operate on less power, which extends battery life.

The Newton hand-held computer, a joint venture of Apple and Sharp, is expected to be available later this year. The Newton is not just a smaller desktop computer. It is the first version of what Apple Chairman John Scully calls a personal digital assistant (PDA). Instead of a keyboard, it uses pen input to record data and activate functions. The absence of a keyboard allows it to be made smaller than a laptop computer, and it communicates by line-of-sight infrared wireless technology. Similarly, AT&T and Go Corporation are developing personal communicators that combine telephone and computer technology with radio-based wireless communication. Like the Newton, these machines use handwriting rather than a keyboard and place an emphasis on message capabilities such as fax, electronic mail, and voice.

Orthodontics--indeed, the whole health care industry--will benefit from these developments. Wireless links between satellites and the main office will make all financial and patient data available in any branch office. And if you are wary of making your data accessible to eavesdroppers over the airways, the small but powerful disk drives of the new laptop machines make it possible to "take it with you". A PDA will enable any staff member to make appointments at chairside. The orthodontist will be able to review or add data to the office computer data base from anywhere, in or out of the office.

These portable systems will have at least as profound an impact on how we work as the PC did. But there is a down side to the enhanced capability of personal communications. Being able to take the office with you means you must set limits to how much you are in touch. It should be interesting to see how orthodontists integrate these new machines into their lives.

Fig. 1 14-year-old male with Class II, division 2 malocclusion before treatment.
Fig. 2 Maxillary and mandibular incisor intrusion.
Fig. 3 Combination headgear worn at night.
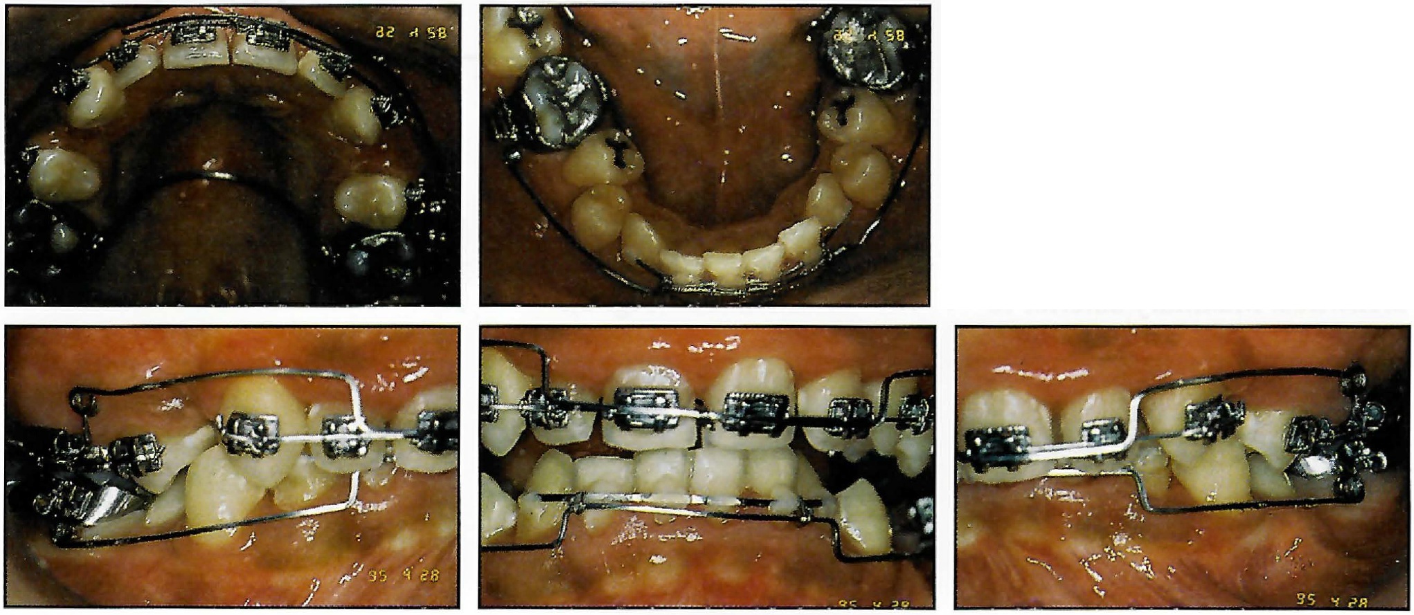
Fig. 4 Maxillary anterior root torque correction and mandibular leveling and alignment.
Fig. 5 Force system for maxillary anterior root torque correction.
Fig. 6 Maxillary space closure with TMA T-loops and mandibular ideal arch.
Fig. 7 Patient after treatment.

DR. MÁRCIA R.E.A.S. GANDINI DDS, PHD

DR.  MÁRCIA R.E.A.S. GANDINI DDS, PHD

DR. LUIZ G. GANDINI JR. DDS, PHD

DR.  LUIZ G. GANDINI JR. DDS, PHD

DR. JERYL D. ENGLISH DDS, MS

DR. JERYL D. ENGLISH DDS, MS

My Account

This is currently not available. Please check back later.

Please contact heather@jco-online.com for any changes to your account.