Favorite Saved

THE EDITOR'S CORNER

The economic threat to the survival of private orthodontic practice should not be allowed to obscure the fact that our greatest jeopardy may lie in a takeover of the specialty by third parties, private and government. There is a very real threat that orthodontists, faced with a decreasing demand for their services, may feel unable to increase fees to accommodate to increased costs and inflation, and willing to take a decrease in their living standard; and that they may increasingly be willing to surrender control of both their professional prerogatives and fee structure to third parties who may gain control of a major portion of the patient source.

Third parties add a cost factor of administration and profit to orthodontic fees. Inevitably, they must control costs and control the orthodontist if they are going to succeed as a profit or non-profit organization. There are many ways they can accomplish this end, but two easy ones to visualize are for them to sell coverages which include participating dentists and fixed fees or coverages which pay for a percentage of the orthodontist's fee. With either method, they wind up in control of us. Either because the diminishing number of new patients makes us timid and/or because the third parties become involved with a major number of our patients, the third party will be able to adjust the fixed fee schedule or call to question and control fees of which they pay a percentage.

The individual practicing orthodontist cannot stand up against the insurance company or union or government. It may begin with orthodontists willingly accepting lower fees to fill their free time. In the end, third parties can destroy both the fee structure and the professionalism, taking over the decisions about what treatment is done, when it is done, by whom it is done, for how long it is done, and at what fee it is done. Given the economic conditions we face, we cannot surrender control of fees, because it is one of the very few controls we have over our economic destiny and survival. After all, what are the alternatives in a declining economy? You can raise fees, lower costs, practice build to try to find new patients, or accept a lower standard of living. It is true that third parties have the potential to increase the number of patients under orthodontic care. However, the number that is reasonably possible through these programs may not be so great that we could hold our economic ground if fees were held at their present level or reduced. In addition, third party commercial insurance programs tend to encourage an increase in the number of cases treated by non-orthodontists.

So, we have the prospect of vulnerability of orthodontists by reason of declining income potential and the aggressive growth of third party programs. If this is a major hazard, it would be wise to consider what orthodontists ought to be doing, while there yet may be time, to change the premise on which this forecast is based, namely that we have an adversary position with the individual orthodontist on one side and the large insurance company, the larger insurance industry, the potentially much larger government agency programs on the other.

An agency is needed to stand between the individual practitioner and the third parties. It would be the purpose of this intermediary to establish principles and guidelines for third party programs which would preserve the high quality of orthodontic care and protect the interests of the consumer and the practitioner in matters that relate to the professional aspects of the third party programs; and act as fiscal intermediary so that there is no financial relationship directly between the third party and the individual practitioner; as well as to promote increased utilization of orthodontic service.

A separate agency is needed to stand in the middle among the consumer, the third party and the orthodontist to monitor performance and quality, including a peer review mechanism.

These agencies will only find credibility and acceptance if they are not under the complete control of the specialty, but have a shared input and control from a cross section of those whose concern is the delivery of high quality orthodontic treatment. It should be the initiative of the State orthodontic societies to create these two agencies on a State basis. It would be wise to establish a national agency to coordinate the efforts of the State orthodontic societies, and to maintain liaison among them.

Fig. A
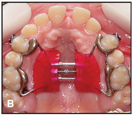
Fig. B
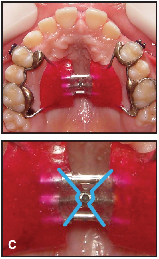
Fig. C
Fig. D
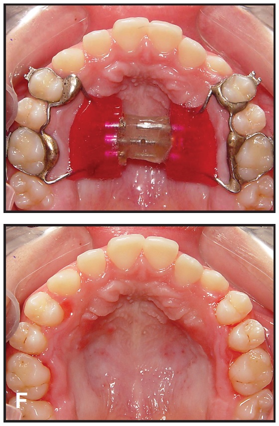
Fig. E
Fig. F
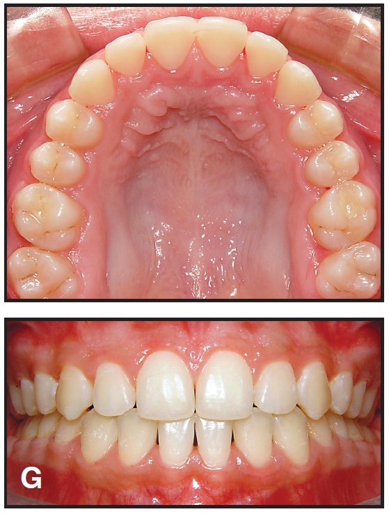
Fig. G

DR. ERNANI MENEZES MARCHIORO DDS, MOrth

DR. STEFAN CARDON DDS, MOrth

DR. GABRIEL SCHMIDT DOLCI DDS, MOrth

My Account

This is currently not available. Please check back later.

Please contact heather@jco-online.com for any changes to your account.