PEARLS
Improved Indirect Bonding of Self-Ligating Brackets
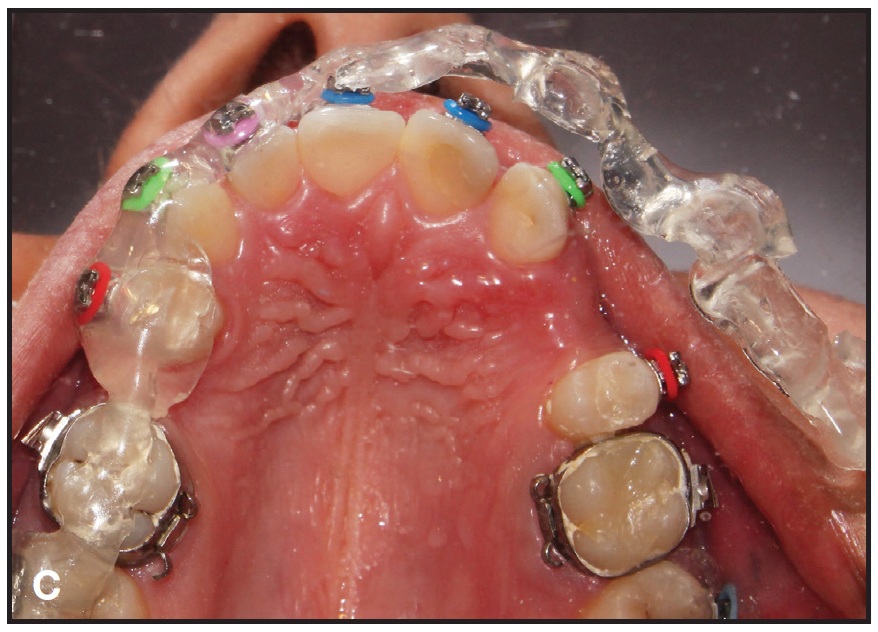
The design features of many self-ligating brackets--sliding doors or spring clips, high profiles, and deep undercuts--can cause problems with indirect bonding, especially during tray removal. We use elastomeric ligatures to facilitate the procedure, as shown here with Damon 3MX* self-ligating brackets.
Procedure
1. Position and light-cure the brackets on the working cast. Close the bracket doors or clips.
2. Place elastomeric ligature modules behind the tie wings of the brackets, taking care not to inadvertently debond the brackets (A). Flow the transfer- tray material over the cast, encapsulating the brackets and modules (B).
3. After the brackets have been bonded to the teeth, peel away the tray, starting from the lingual (C), then remove the modules.
Similar articles from the archive:



The elastomeric modules prevent tray material from flowing into the undercut areas beneath the self-ligating bracket tie wings, thus helping to keep the brackets from dislodging during the crucial tray-removal stage.
FOOTNOTES
- *Registered trademark of Ormco Corporation, Orange, CA; www.ormco.com.