The Rat Trap Lingual Torquing Auxiliary
As the demand for esthetic orthodontic treatment has increased in recent years, so has the relevance of lingual appliances.1 Incisor inclination continues to be a major issue in lingual therapy,2 particularly in the maxillary anterior region, where proper torque control is required to achieve an ideal interincisal angle, adequate incisal contact, and a stable sagittal occlusion.3,4 Torque expression is a challenge in any kind of preadjusted edgewise mechanotherapy, especially when moving from a labial to a lingual technique. More torque is built into lingual brackets than would otherwise be required, simply to compensate for factors such as the following.5-8
Tooth morphology: Any 1st- and 3rd- order tooth movements are complicated by the variability of lingual dental anatomy, including tooth sizes, lingual contours, cingulae, and marginal ridges. Differences in tooth form, shape, and inclination affect torque expression more on the lingual than on the labial side.
Interbracket distance: Because of significantly shorter anterior interbracket distances, a lingual archwire will act 1.5 times stiffer than a comparable labial archwire, further diminishing the expression of 3rd-order bends.
Bracket-wire play: Play at the bracket-wire interface during torsion is considerably greater in lingual treatment. The effective torque depends on the manufacturer's tolerance in both brackets and wires, as well as on the edge bevel of the wires.
This article presents a lingual auxiliary, called the Rat Trap, that can be used to improve torque control with any lingual bracket system.
Similar articles from the archive:
Design
The Rat Trap torquing auxiliary is formed from .014" or .016" Australian Special Plus or Australian Supreme wire, which is wound around an .018" or .020" Australian Plus lingual base archwire to form "U"-shaped loops (Fig. 1). A small incisal offset or V-bend in the midline of the main archwire acts as a reciprocating stop. Since this auxiliary is activated by the resistance of the midline stop, rather than the anterior curvature of the wire (as with a four-spur torquing auxiliary), it is more efficient in torquing.9 The length of the U-loops enhances the resilience of the wire, thus enabling the application of light, continuous forces.
Fabrication
1. Using a bird-beak plier, prepare a mushroomshaped .018" or .020" Australian Special Plus lingual base archwire with a V-bend between the upper central incisors, pointing the apex of the "V" to the incisal (Fig. 2A).
2. Orient the base archwire on the upper working cast so that the center of the V-bend coincides with the contact point between the central incisors. Mark the contact points between the central and lateral incisors and between the lateral incisors and canines on the wire (Fig. 2B).

Fig. 1 Rat Trap lingual torquing auxiliary in passive (A) and active (B) states.

Fig. 2 Fabrication of Rat Trap auxiliary. A. Mushroom lingual base archwire formed on working cast with V-bend at midline. B. Contact points between central and lateral incisors and between lateral incisors and canines marked on wire. C. .014" Australian* Special Plus wire wound clockwise around base archwire. D. Gingivally angled U-loop spanning width of lateral incisor. E. Second U-loop spanning right central incisor; auxiliary wire wound around base wire at V-bend. F,G. Auxiliary crossed over and wound clockwise around base archwire before forming two additional U-loops on other side.
3. At the contact point between the upper right canine and lateral incisor, wind a segment of .014" Australian Special Plus wire around the base archwire twice clockwise with a ribbon-arch plier, leaving the free end of the auxiliary wire labial to the base archwire (Fig. 2C). Using a bird-beak plier, bend a U-loop at a gingival angle, spanning the width of the lateral incisor (Fig. 2D). With the ribbon-arch plier, wind the free end of the auxiliary wire around the base archwire twice clockwise, starting from the lingual of the base wire. This method of winding makes the auxiliary more efficient.
4. Form a similar U-loop spanning the right central incisor, and wind the auxiliary wire around the base wire twice clockwise at the V-bend (Fig. 2E).
5. Wind the auxiliary wire from labial to lingual across the V-bend of the base archwire, then wind it twice clockwise (Fig. 2F). Crossing the wire over in this way will allow the V-bend to act as a mid- each case. line reciprocating stop, preventing the auxiliary from sliding to the left or right.
6. Form the third and fourth loops in a similar manner to complete the auxiliary (Fig. 2G).
In a passive state, the loops should lie at an inner angle of about 45º to the base archwire (Fig. 3). This angulation can be varied depending on the torque requirements of each case.
Activation
1. Engage the base archwire in the bracket slots with the passive Rat Trap auxiliary loops angled gingivally (Fig. 4A).
2. Slide the base wire out of the anterior bracket slots only, and activate the appliance by bending the U-loops toward the incisors and occlusally with a bird-beak plier (Fig. 4B).
3. After re-engaging the main wire in the anterior bracket slots, ligate the base archwire along with the activated auxiliary, so that the loops are now angled occlusally (Fig. 4C).
Case 1
A 14-year-old female presented to our department with the chief complaint of protrusive upper front teeth. Clinical examination showed a convex profile, mild posterior divergence, incompetent lips, a deep mentolabial sulcus, bilateral Class I molar and canine relationships, an overjet of 5mm, and an overbite of 2mm (Fig. 5).
Cephalometric analysis indicated Class I skeletal bases (ANB = 4º), an orthognathic maxilla and mandible, and a normal growth pattern, with anteriorly positioned and proclined upper and lower anterior teeth.

Fig. 3 In passive state, auxiliary loops lie at 45° angle to base archwire.

Fig. 4 Activation of Rat Trap auxiliary. A. Base archwire with Rat Trap auxiliary engaged in lingual bracket slots. B. Base archwire disengaged from incisor and canine slots; U-loops bent occlusally to activate appliance. C. Base archwire re-engaged in anterior slots.

Fig. 5 Case 1. 14-year-old female patient with protrusive upper incisors, convex profile, incompetent lips, and Class I molar and canine relationships before treatment.
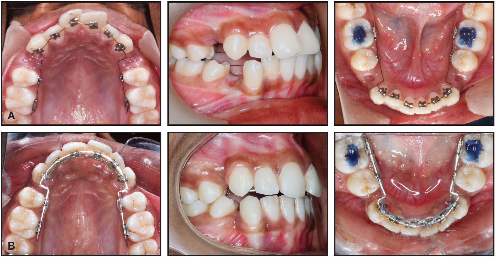
The treatment plan involved extraction of the four first premolars followed by fixed mechanotherapy using self-ligating 2D lingual brackets**, which were bonded using an indirect technique (Fig. 6A). Space closure was accomplished on .016" x .022" stainless steel archwires with Class I mechanics in all four quadrants (Fig. 6B).

Fig. 6 Case 1. A. After four first-premolar extractions, initial alignment with .012" upper and lower nickel titanium wires and 2D** lingual brackets. B. Upper and lower .016" x .022" stainless steel archwires used for space closure with Class I mechanics.
At the completion of space closure, the upper incisors were undertorqued by 15º to the facial axis (Fig. 7), since the 2D brackets do not have a builtin torque prescription.

Fig. 7 Case 1. Upper incisors undertorqued by 15° after space-closure mechanics.
To regain the lost torque, a Rat Trap auxiliary was fabricated and engaged on an upper .018" Australian Special Plus base archwire (Fig. 8). The lower .016" x .022" stainless steel archwire was continued, and bilateral Class II elastics were prescribed.

Fig. 8 Case 1. Rat Trap lingual torquing auxiliary placed in upper arch.
After 22 months of treatment, the upper and lower incisors had been retracted, improving the patient's profile, while the axial inclination of the upper incisors was kept parallel to the facial axis (Fig. 9A,C). In seven months of active treatment with the Rat Trap auxiliary, 12º of upper-incisor torque was gained (Fig. 9B).

Fig. 9 Case 1. A. Patient after 22 months of treatment. B. 12° increase in upper-incisor torque after seven months of treatment with Rat Trap auxiliary. C. Superimposition of pre- and post-treatment cephalometric tracings.
Case 2
A 19-year-old female presented with the chief complaint of anteriorly placed upper front teeth and an inability to close her lips. Upon clinical examination, she had a convex profile, posterior divergence, potentially incompetent lips, a deep mentolabial sulcus, bilateral Class I molar and canine relationships, a Class I incisor relationship, an overjet of 2mm, an overbite of 1mm, and mild lower anterior crowding (Fig. 10).

Fig. 10 Case 2. 19-year-old female patient with protrusive upper incisors, Class I molar and canine relationships, and mild lower anterior crowding before treatment.
Cephalometric analysis revealed Class I skeletal bases (ANB = 3º), an orthognathic maxilla and mandible, and an average-to-vertical growth pattern, with anteriorly positioned and proclined upper and lower anterior teeth.
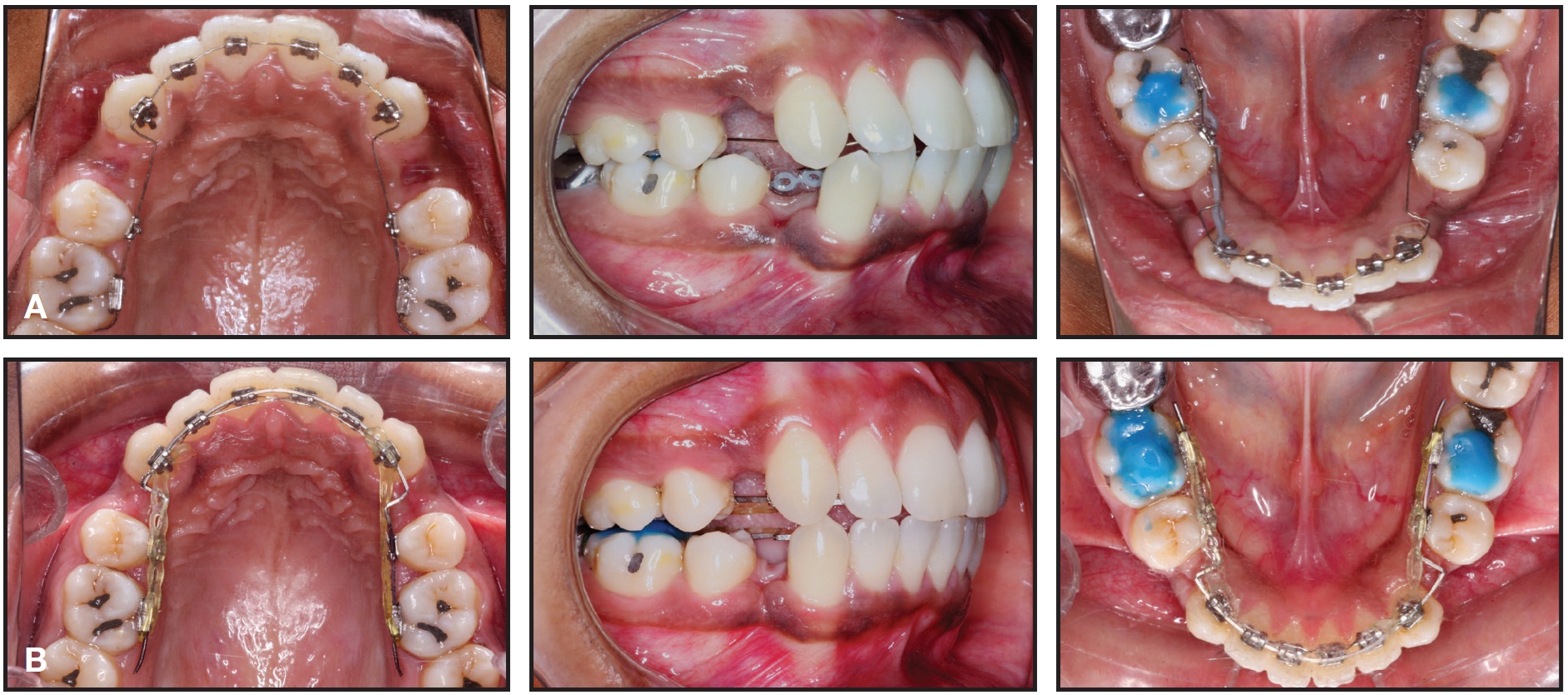
The treatment plan included extraction of the four first premolars followed by lingual orthodontic therapy (Fig. 11A). Space closure was accomplished on .017" x .025" stainless steel archwires using Class I mechanics (Fig. 11B).

Fig. 11 Case 2. A. After four first-premolar extractions, initial alignment with .012" upper and lower nickel titanium archwires. B. Space closure with upper and lower .017" x .025" stainless steel archwires.
Similarly to Case 1, at the end of space closure, the patient's upper incisors were under-torqued by 10º to the facial axis (Fig. 12).

Fig. 12 Case 2. After space closure, upper incisors undertorqued by 10° to facial axis.
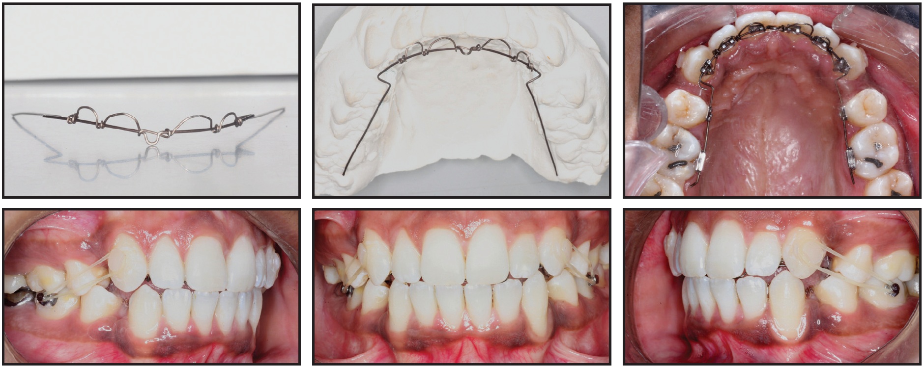
A Rat Trap auxiliary was then placed on an upper .018" Australian Special Plus base archwire to regain the lost torque (Fig. 13).

Fig. 13 Case 2. Rat Trap lingual torquing auxiliary placed in upper arch.
The lower .017" x .025" stainless steel archwire was maintained, and bilateral Class II elastics were worn.
After a total 17 months of treatment, the upper and lower incisors had been retracted and lip competency achieved, improving the patient's profile, while the axial inclination of the upper incisors was maintained parallel to the facial axis (Fig. 14A,C). During five months of active treatment with the Rat Trap auxiliary, 6º of torque was regained (Fig. 14B).

Fig. 14 Case 2. A. Patient after 17 months of treatment. B. 6° increase in upper-incisor torque after five months of treatment with Rat Trap auxiliary. C. Superimposition of pre- and post-treatment cephalometric tracings.
Discussion
Reduced interbracket distances necessitate different biomechanical considerations for tooth movement with lingual brackets, especially where torque is concerned. When normally inclined or proclined teeth are retracted with an equal amount of intrusive force in lingual mechanics as in labial mechanics, net force vectors pass lingual to the centers of resistance, causing lingual tipping and loss of torque in the maxillary incisors.10
Lost torque can be regained by either intraslot or extra-slot torquing mechanics. Extra-slot mechanics are more efficient because the moment arm of the torquing couple (the active part of the auxiliary) is longer compared to the moment arm of a rectangular wire twisted inside a rectangular slot. Extra-slot mechanics are also independent of interbracket distance, since the active arm is long enough to generate torquing moments, and they avoid the reciprocal torquing effects of intra-slot mechanics.11,12
The active arm of the Rat Trap auxiliary is short enough to be accommodated on the lingual while still producing the required moment of couple. The appliance is easy to fabricate on the working cast, thus reducing chairtime. Insertion is simple and efficient: because the auxiliary is wound around the main archwire, it does not need to be ligated separately. Even though our preferred 2D lingual brackets have no built-in torque, the Rat Trap auxiliary can regain lost torque within five to seven months. It can readily be customized for use with any other lingual system.
FOOTNOTES
- *Registered trademark of A.J. Wilcock Pty. Ltd., Whittlesea, Victoria, Australia. Distributed in North America by G&H Wire Company, Franklin, IN; www.ghwire.com.
- **Forestadent, Pforzheim, Germany; www.forestadent.com.
REFERENCES
- 1. Buckley, J.: Lingual orthodontics: An illustrated review with the Incognito fully customized appliance, J. Irish Dent. Assoc. 58:149-155, 2012.
- 2. Knosel, M.; Jung, K.; Gripp-Rudolph, L.; Attin, T.; Attin, R.; Sadat-Khonsari, R.; Kubein-Meesenburg, D.; and Bauss, O.: Changes in incisor third-order inclination resulting from vertical variation in lingual bracket placement, Angle Orthod. 79:747-754, 2009.
- 3. Demling, A.; Dittmer, M.P.; and Schwestka-Polly, R.: Comparative analysis of slot dimension in lingual bracket systems, Head Face Med. 5:27, 2009.
- 4. Rauch, D.E.: Torque and its application to orthodontics, Am. J. Orthod. 45:817-830, 1959.
- 5. Alexander, C.M.; Alexander, R.G.; Gorman, J.C.; Hilgers, J.J.; Kurz, C.; Scholz, R.P.; and Smith, J.R.: Lingual orthodontics: A status report, Part 5: Lingual mechanotherapy, J. Clin. Orthod. 17:99-115, 1983.
- 6. Moran, K.I.: Relative wire stiffness due to lingual versus labial interbracket distance, Am. J. Orthod. 92:24-32, 1987.
- 7. Sifakakis, I.; Pandis, N.; Makou, M.; Katsaros, C.; Eliades, T.; and Bourauel, C.: A comparative assessment of forces and moments generated by lingual and conventional brackets, Eur. J. Orthod. 35:82-86, 2013.
- 8. Stamm, T.; Wiechmann, D.; Heinecken, A.; and Ehmer, U.: Relationship between second and third order problems in lingual orthodontic treatment, J. Ling. Orthod. 3:5-11, 2000.
- 9. Begg, P.R. and Kesling, P.C.: Begg Orthodontic Theory and Technique, 3rd ed., W.B. Saunders Co., Philadelphia, 1977.
- 10. Geron, S.; Romano, R.; and Brosh, T.: Vertical forces in labial and lingual orthodontic appliances applied on maxillary incisors—A theoretical approach, Angle Orthod. 74:195-201, 2004.
- 11. Smith, J.R.; Gorman, J.C.; Kurz, C.; and Dunn, R.M.: Lingual orthodontics: A status report, Part 1: Keys to success in lingual therapy, J. Clin. Orthod. 20:252-261, 1986.
- 12. Gorman, J.C.: Treatment with lingual appliance: The alternative for adult patients, Int. J. Adult Orthod. Orthog. Surg. 2:131-149, 1987.