Favorite Saved

THE EDITOR'S CORNER

The Symphony of Interdisciplinary Care

Few things are more rewarding than making a positive difference in someone else's life. Most of us in the health-care field chose to enter our profession so we could do just that, while making a respectable living for ourselves and our families. As orthodontists, we are particularly fortunate in that all our patients come to us, or are brought to us by their parents, to improve their appearance, enhance their dental function, or, in most cases, both. I can't even begin to estimate how many times I've heard orthodontists express the belief that we work in the best profession in the world. A number of patients have even asked me over the years what makes orthodontics such a great profession. Of course, there is the general recognition that we earn an income that allows for a comfortable lifestyle. But for me, at least, the most rewarding aspect of practicing orthodontics--the part that just feels good--is the sense I get of artistic creation, the sense of bringing more beauty into the world. It can only be described as delightfully rewarding when we can take an adolescent girl or boy from the situation the old dental textbooks referred to as the "ugly duckling" stage, then spend a couple of years directing the growth and development of the orofacial complex into the face and mouth of a beautiful young adult. We get to watch as our patients develop enhanced self-esteem and self-efficacy over the months of our treatment, with the satisfaction of knowing that we are playing a crucial role in that evolution. It gets even better when the patient and parents express delight in the treatment outcome, at which point we can be assured that we have indeed made a difference.

Similar articles from the archive:

I find an even greater sense of accomplishment and psychic reward when I can help an adult patient, especially one who starts with a true orofacial disability. This is the kind of case with multiple dental and facial abnormalities, pathologies, and deformities, manifested as a disturbingly unesthetic appearance with diseased dental and gingival tissues and overt malocclusions--in other words, a totally dysfunctional orofacial complex. I particularly remember one woman in her early 30s who, due to primary failure of eruption of most of her adult teeth and agenesis of several others, had grown into adulthood with a noticeable midface deficiency and the caved-in look of an edentulous elderly person. Despite having beautiful eyes and an attractive figure, her facial appearance caused her to think of herself as "ugly". After forced eruption of the adult teeth that were present, comprehensive orthodontics, and orthognathic surgery, followed by definitive restorative care, her face became quite attractive. Few things have touched me as much in my career as hearing her say that she finally believed she was indeed beautiful.

Treatment of a patient like this requires the orchestrated care of a multidisciplinary team: a gifted general dentist, perhaps a prosthodontist, and frequently a periodontist and an endodontist, in addition to the orthodontist and oral and maxillofacial surgeon. For these team members, there is a unique synergistic effect that results in a treatment outcome far greater than any one of them could have accomplished alone. The feeling has been compared to being part of a Super Bowl or World Series championship. The best analogy I've heard for a successful interdisciplinary team, however, comes from an extraordinary general dentist I have known and respected for 30 years. My friend is also a talented musician who has played the trumpet in a prominent symphony orchestra his entire adult life. He likens his function as a member of a dental-treatment team to his role in the symphony. That same act of artistic creation, of bringing beauty into the world, is involved in either orchestrated event, whether it's Beethoven's Fifth Symphony or an extraordinarily complicated interdisciplinary dental case.

In this issue of JCO, three members of such an interdisciplinary team--Drs. William A. Mehan, Paul Thompson, and Mark Hochberg--present a difficult case that was successfully treated through their orchestrated actions. When you look at the before-and-after photographs of this case, this dental symphony, you can't help but appreciate the sense of pride and accomplishment, the psychological rewards, that the members of their team must feel as a result of the extraordinary difference they've made in this adult patient's life. Their results, even before the planned follow-up plastic surgeries, are exemplary. They also serve as a reminder of why most of us feel so strongly that we indeed have the best profession in the world.

RGK

Fig. 1 Skeletal Age 1.0 application interface.
Fig. 2 Close-up of newly created record in Image Mode, with preliminary vertebral outlines added by software over digital cephalometric image. Operator uses mouse to drag each vertebral outline to appropriate area of radiograph.
Fig. 3 On-Screen Mode. A. Newly created record. B. Cephalometric x-ray placed directly on computer monitor.
Fig. 4 Cervical vertebral landmarks included in software analysis. Blue reference plane appears after operator places superior and inferior points (points 1-4 in Fig. 5) with mouse.
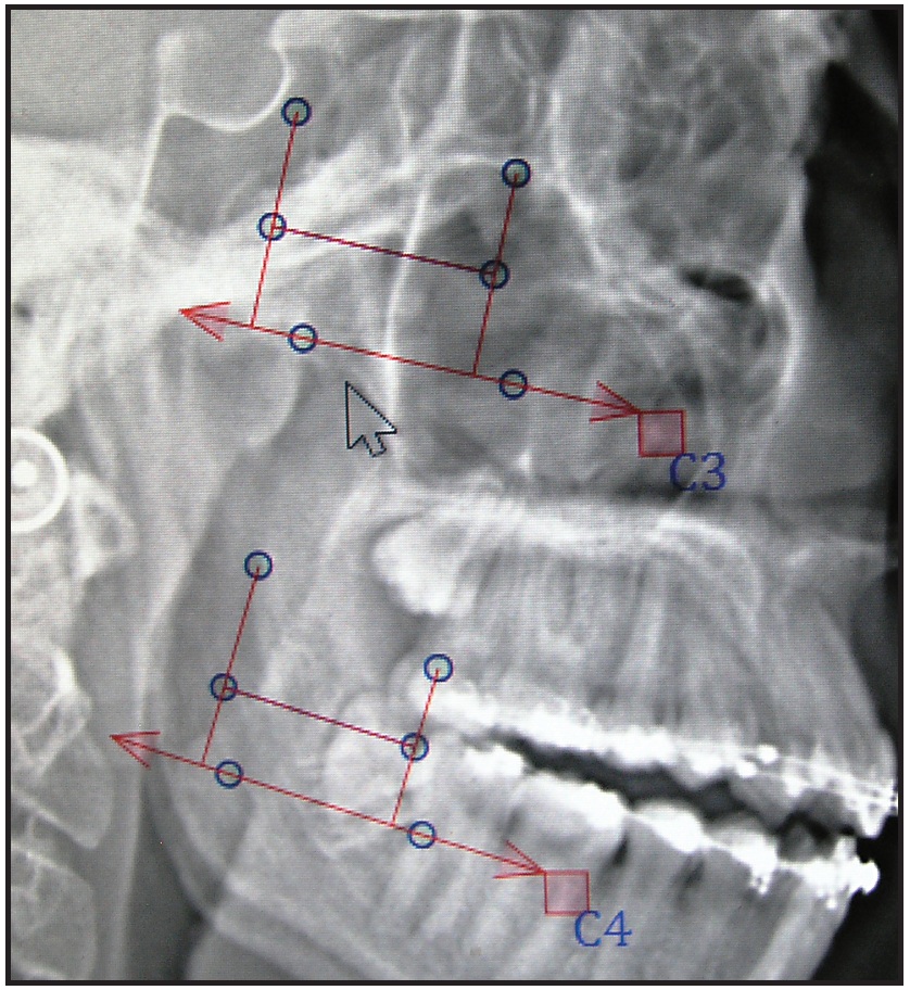
Fig. 5 Blue circles moved by operator to indicate anatomical landmarks, with inferior and superior points placed first, followed by midpoints.
Fig. 6 Calculated skeletal age. (Blue midplane lines added by software are now covered by red horizontal midlines, after operator's placement of antero- and postero-midpoints.)

DR. M. PAVAN KUMAR MDS

DR. M.  PAVAN KUMAR MDS

DR. G. ANITHA MDS

DR. G.  ANITHA MDS

My Account

This is currently not available. Please check back later.

Please contact heather@jco-online.com for any changes to your account.