Favorite Saved

BOOK REVIEWS

Contemporary Orthodontics

WILLIAM R. PROFFIT, DDS, PHD
HENRY W. FIELDS, JR., DDS, MS, MSD
3rd edition. 742 pages, 1,817 illustrations. $92. 2000.
Mosby
11830 Westline Industrial Drive
St. Louis, MO 63146
(800) 325-4177; www.harcourt-international.com

Contemporary Orthodontics has become the primary orthodontic textbook for most orthodontic graduate and residency programs. In the third edition, contributors James Ackerman, L'Tanya Bailey, and Camilla Tulloch have joined Drs. Proffit and Fields to take this respected text to the next level.

The basic organization is essentially the same as in the second edition. Most of the changes reflect the increasing importance of computer imaging and diagnostic programs in contemporary practice and the shift toward evidence-based decision making.

The text is divided into eight sections, which are further subdivided into 22 chapters; the overall sequence is so logical that it seems to make nearly intuitive sense to sharp-minded students. Beginning with an overview of malocclusion and dentofacial deformity in contemporary society, the book progresses through chapters on dentofacial development, diagnosis and treatment planning, biomechanics, appliance therapy, treatment of preadolescents, and comprehensive therapy in the early adult dentition, concluding with three chapters on adult treatment.

The current edition contains many of the same high-quality illustrations as in previous editions, but also includes a number of excellent color photographs that liven up the text considerably. Computerized self-tests, intended for instruction rather than assessment, are available from the Department of Orthodontics, University of North Carolina School of Dentistry. That bonus, coupled with the authors' tireless pursuit of excellence, ensures the preeminence of this textbook for a long time to come.

RGK

Fig. 1 Treatment of Class III relapse. A. Maxillary molar distalization and mandibular anterior decompensation using palatal miniscrew and mandibular buccal miniscrews. B. Before orthognathic surgery. C. After maxillary anterior subapical osteotomy (ASO). D. After mandibular bisagittal split ramus osteotomy (BSSRO).
Fig. 2 Dual-Top Anchor System miniscrew used for maxillary molar distalization.
Fig. 3 Case 1. 19-year-old female patient with mandibular protrusion before treatment.
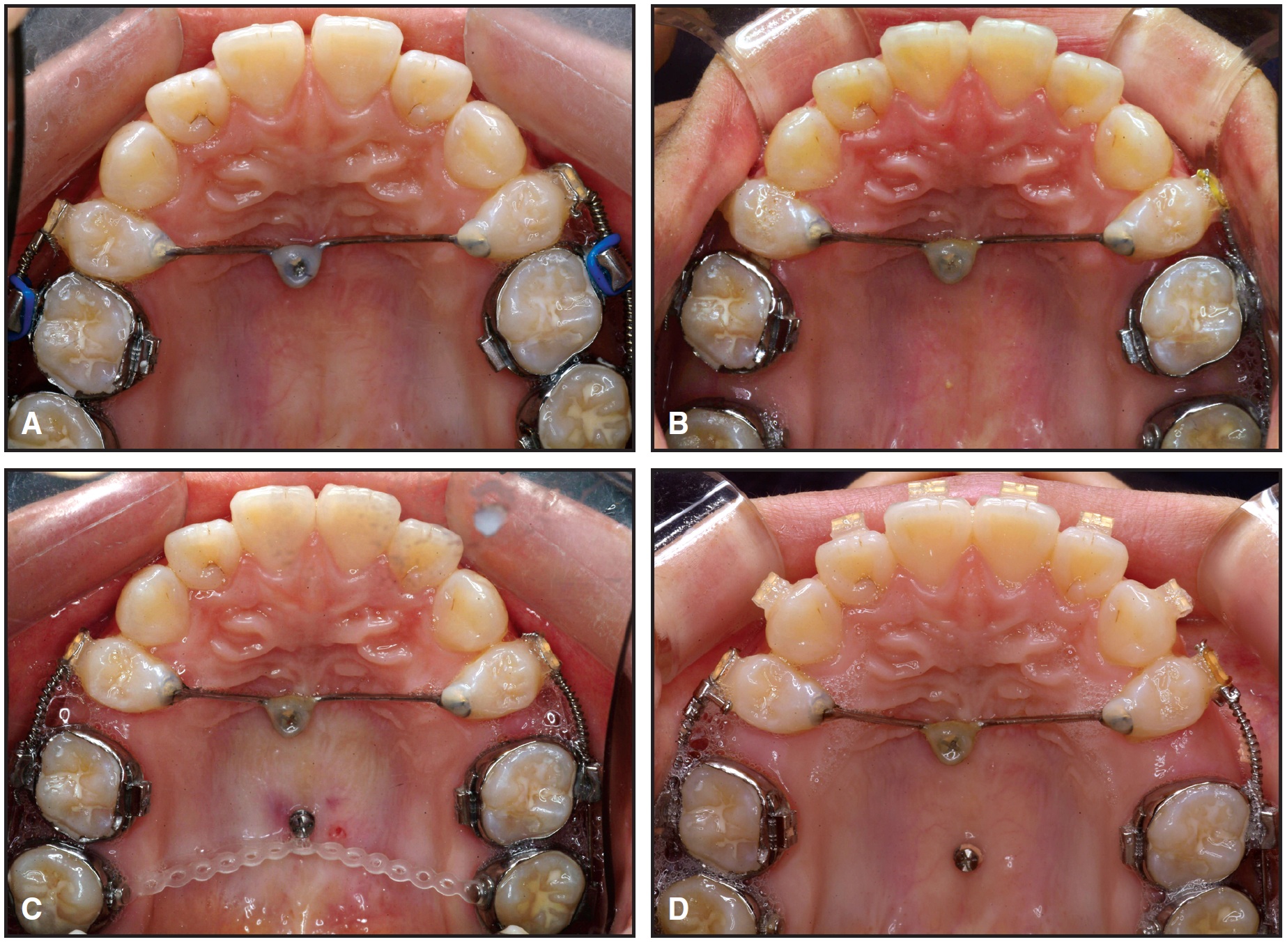
Fig. 4 Case 1. Maxillary molar distalization. A. Transpalatal arch (TPA) bonded to palatal miniscrew head and lingual surfaces of maxillary second premolars. B. Distalization of second molars. C. Distalization of first molars, with additional palatal miniscrew and buccal miniscrews used for second molar intrusion. D. After molar distalization.
Fig. 5 Case 1. Miniscrews inserted between mandibular canines and second premolars, with nickel titanium closed-coil springs attached to second molars.
Fig. 6 Case 1. After seven months of distalization, showing increased mandibular protrusion due to decompensation.
Fig. 7 Case 1. Regained space to be closed with ASO.
Fig. 8 Case 1. A. Patient after 18 months of treatment. B. Superimposition of pre- and post-treatment cephalometric tracings.
Fig. 9 Case 1. Follow-up records taken one year after surgery.
Fig. 10 Case 2. 16-year-old male patient with skeletal Class III malocclusion before treatment.
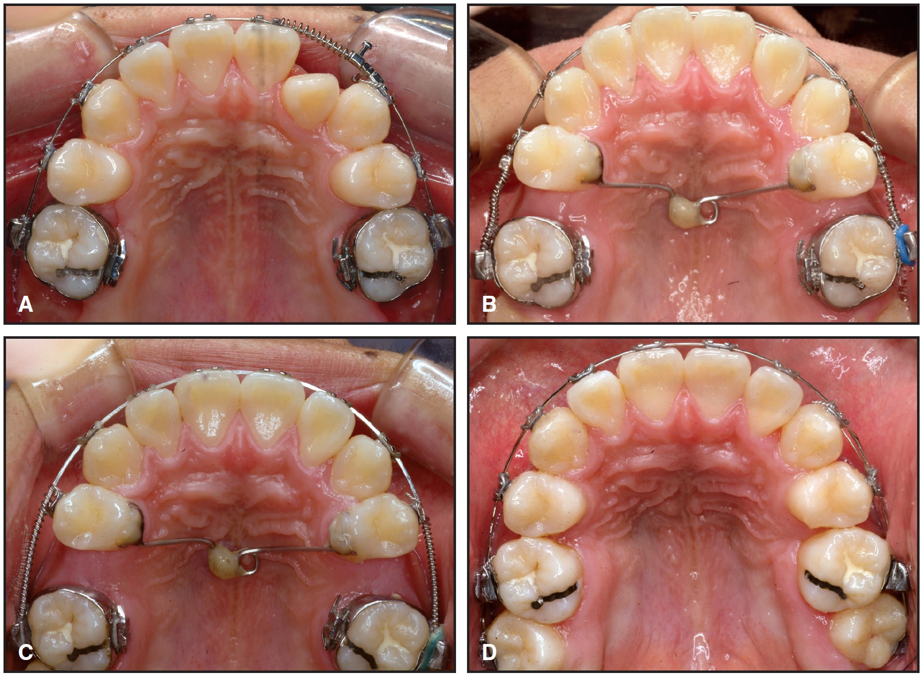
Fig. 11 Case 2. Treatment in maxillary arch. A. After extraction of maxillary second molars. B. TPA bonded to single palatal miniscrew and first premolars. Open-coil springs used to distalize first molars as third molars begin to erupt. C. After 6mm of molar distalization. D. Maxillary arch after ASO.
Fig. 12 Case 2. A. Patient after 31 months of treatment. B. Superimposition of pre- and post-treatment cephalometric tracings.

DR. YOON-AH KOOK DDS, MSD, PhD

DR. YOON-AH  KOOK DDS, MSD, PhD

DR. SEONG-HUN KIM DMD, MSD

DR. SEONG-HUN  KIM DMD, MSD

My Account

This is currently not available. Please check back later.

Please contact heather@jco-online.com for any changes to your account.