Favorite Saved

Supercable and the SPEED System

The ideal initial archwire has superior strength and flexibility, resists permanent deformation, and maximizes both patient comfort and physiologic tooth movement. The limited flexibility of the original stainless steel archwires led to the development of multilooped archwires with lower initial forces. Even greater flexibility was achieved by replacing the solid cross-section with a cross-section of multiple smaller wires. Round and rectangular multistranded cables such as Wildcat* and Respond** have been widely used, but are still limited by the mechanical properties of stainless steel.

Titanium alloys such as nickel titanium (Nitinol**) and titanium molybdenum (TMA***) are more resilient than stainless steel; archwires made of these materials exhibit lighter and more continuous forces and 20-30% of the bending values of stainless steel wires.2 In 1985, Burstone and colleagues reported on a new superelastic Chinese nickel titanium wire with a springback 50% greater than that of Nitinol and more than 400% greater than that of stainless steel.1 Superelastic wires deliver a light, continuous force over a long range of action.

In 1993, Hanson combined the mechanical advantages of multistranded cables with the material properties of superelastic wires to create a superelastic nickel titanium coaxial wire.3 This wire, called Supercable, comprises seven individual strands that are woven together in a long, gentle spiral to maximize flexibility and minimize force delivery. The present article will examine both the mechanical and clinical aspects of Supercable.

Force Delivery Test

A three-point bending test was carried out to compare the force delivery of .016", .018", and .020" Supercable with that of common nickel titanium initial archwires. A special three-point bending fixture and probe unit was connected to the upper crosshead of an Instron Universal Testing Machine (Model No. 4206-006) equipped with a 100-Newton load cell (Fig. 1).

The entire assembly was placed in a thermally regulated test chamber set to 37°C, and a thermocouple was connected to the test fixture to monitor its temperature during testing. The test fixture, probe, and wire samples were placed inside the chamber for one hour before the test session to ensure that the materials were all at 37°C. Ten minutes were allowed to elapse between individual tests to maintain thermal equilibrium.

Three-point bending tests were carried out on 10mm lengths of the relatively straight, posterior sections of the wires, approximating typical interbracket spans. The deflection rate of 1mm/minute was slow enough to prevent any adiabatic heating (i.e., increase in temperature) of the wires during deflection.

Fig. 1 Test setup.

The entire assembly was placed in a thermally regulated test chamber set to 37°C, and a thermocouple was connected to the test fixture to monitor its temperature during testing. The test fixture, probe, and wire samples were placed inside the chamber for one hour before the test session to ensure that the materials were all at 37°C. Ten minutes were allowed to elapse between individual tests to maintain thermal equilibrium.

Three-point bending tests were carried out on 10mm lengths of the relatively straight, posterior sections of the wires, approximating typical interbracket spans. The deflection rate of 1mm/minute was slow enough to prevent any adiabatic heating (i.e., increase in temperature) of the wires during deflection.

Each of the superelastic archwires was continuously loaded by the bending probe to a maximum deflection of 4mm, and then unloaded. The resulting loading and unloading forces were measured by the Instron machine and plotted as force vs. deflection graphs (Fig. 2).

Fig. 2 Plot of force vs. deflection for .01611 Supercable in three-point bending test.

Since the unloading forces more closely represent the forces delivered to the tooth, bar charts were prepared from the plots to depict the unloading forces of the wires at three separate deflections: 1mm, 2mm, and 3mm (Figs. 3A, 3B, and 3C, and Table 1).

Fig. 3 Unloading forces. A. 1 mm deflection (continued in next image).

Fig. 3 (cont.) Unloading Forces. B. 2mm deflection.

Fig. 3 (cont.) Unloading Forces. C. 3mm deflection.

Both the .016" and .018" Supercable wires exerted only 36-70% of the force of .014" solid nickel titanium wires. Comparing wires of the same diameter, .016" Supercable demonstrated 65% less force than .016" solid superelastic wires, while .018" Supercable exerted 78% less force than .018" solid superelastic archwires.

Clinical Use of Supercable

The most clinically significant finding was that the .016" and .018" Supercable wires were the only ones that tested at less than 100g of unloading force over a deflection range of 1-3mm. Supercable thus demonstrates optimum orthodontic forces for the periodontium, as described by Reitan4 and Rygh.5

Because an .018" Supercable wire exerts less force than any of the solid .014" nickel titanium wires (80g vs. 115-200g), it offers the clinician the advantage of engaging a relatively large archwire at the start of treatment. By occupying more of the bracket slot, the .018" Supercable is able to accomplish a greater degree of uprighting, leveling, and rotational control than other initial archwires.

Supercable's unique construction and superelastic properties permit it to be gently engaged in even the most crowded cases without patient discomfort (Fig. 4).

Fig. 4 A. Placement of initial mandibular .01611 Supercable archwire. B. Segmented .01611 Supercable wire, seated in auxiliary slot of maxillary lateral and first bicuspid brackets, is flexible enough to be fully engaged in main archwire slot of palatally displaced cuspid.

The following placement technique is recommended to ensure optimal performance:

Seat the Supercable archwire in the brackets, leaving 2mm protruding distally from each of the terminal brackets. When cutting Supercable, always use a sharp distal end cutter (No. 619††). A dull cutter tends to tear the component wires and thus unravel the wire ends. If a wire end snags on a buccal tube and slightly unravels, it can be rewound by twisting the frayed end between finger and thumb.

The resilience of Supercable makes it impossible to place distal end bends. Flaming the wire ends only results in fraying. Therefore, specially designed Supercable distal end stops must be added to secure the wire distal to the terminal brackets (Fig. 5). A SPEED Supercable Stop Plier or a blunt distal end cutter can be used to simultaneously place and crimp the stop. Alternatively, light-cured composite material can be placed over the protruding archwire ends, replacing the crimpable stops, or the composite can be cured over the stops to enhance mechanical retention (Fig. 6).

Fig. 5 Supercable stop crimped and seated snugly against mini-molar tube.

Fig. 6 Light-cured composite applied to cover distal end of Supercable.

Case Report

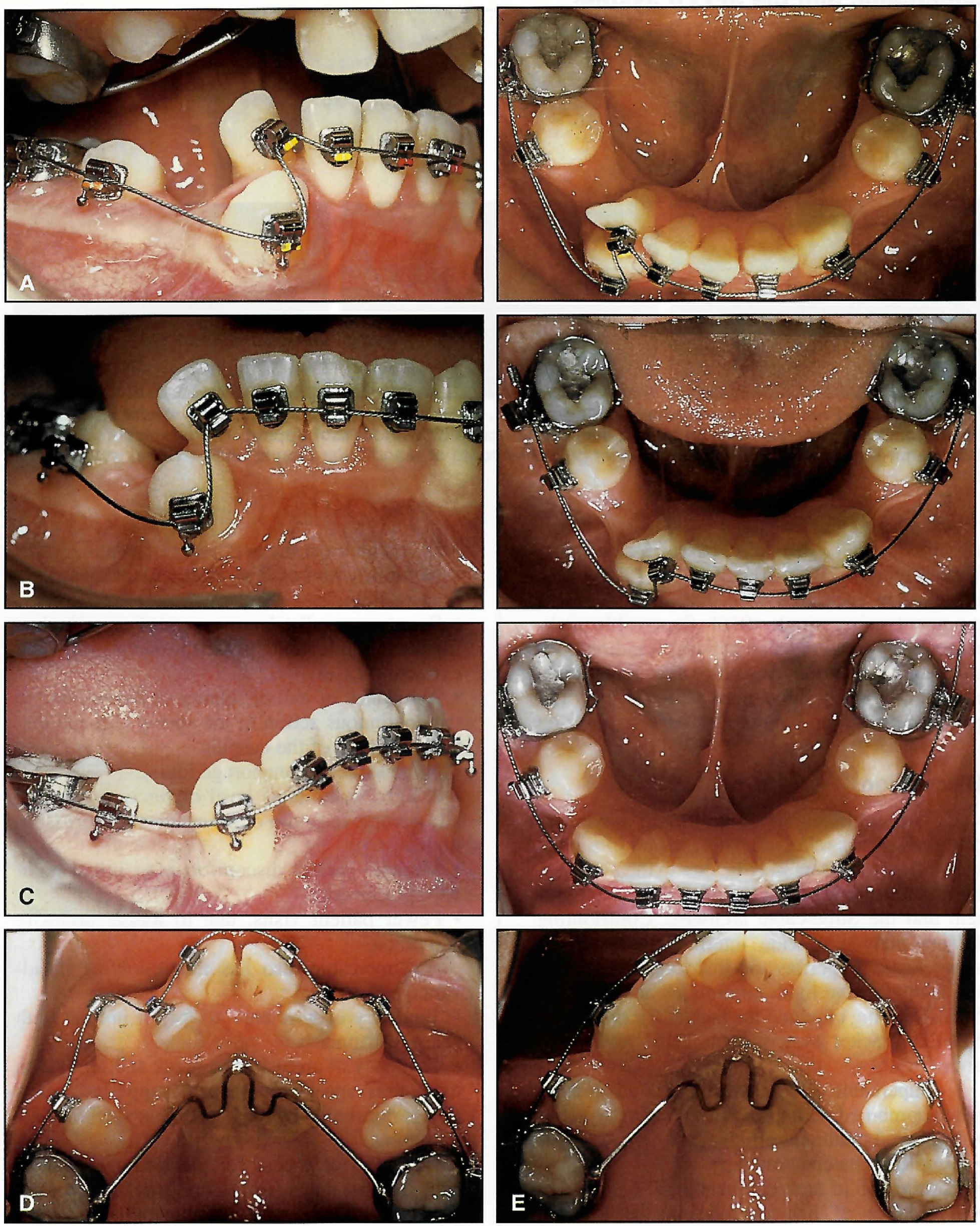
This 12-year-old male patient had severe bimaxillary crowding that necessitated four bicuspid extractions. The mandibular arch had a buccally displaced cuspid and a rotated and slightly lingually displaced lateral incisor (Fig. 7A). Figures 7B-E illustrate the alignment achieved in each arch with only nine weeks of treatment using single .016" Supercable archwires. The panoramic and periapical radiographs showed no root blunting after this remarkable amount of tooth movement (Fig. 7F-H). The patient reported no pain or discomfort.

Fig. 7 12-year-old male with severe bimaxillary crowding and four first bicuspid extractions. A. Initial engagement of mandibular .01611 Supercable. B. Two weeks later, showing initial incisal and cuspid alignment. Note 2mm of excess wire distal to terminal molar bracket. C. Seven weeks later, showing absence of incisor flaring. Note 10mm of archwire distal to molar bracket attachment after closure of extraction spaces. D. Initial engagement of maxillary .01611 Supercable. E. Incisor alignment nine weeks later. Note distal movement of cuspids and closure of extraction spaces without any mesial migration of posterior teeth (continued in next image).

Fig. 7 (cont.) F. Pretreatment panoramic radiograph. G. Panoramic radiograph taken nine weeks later, showing alignment of anterior teeth and distal migration of cuspids without root tipping. H. Periapical radiograph taken after nine weeks of treatment, showing parallel roots of mandibular cuspid and incisors, with no root blunting.

Discussion

The significant amount of tooth movement observed over a relatively short period of time at the start of treatment may be due to the synergistic relationship between the SPEED bracket system and the Supercable archwire. Contributing factors include a wide interbracket span; the superelastic properties and low force delivery of the archwire; the light, continuous action of the SPEED spring clip; and the lack of friction in the SPEED bracket system with .016" and .018" archwires.6,7

Supercable offers the following advantages when combined with the SPEED bracket system:

  • Improved treatment efficiency.
  • Simplified mechanotherapy.
  • Elimination of archwire bending.
  • Avoidance of bite opening in the leveling phase, since the interaction between the spring clip and the superelastic archwire eliminates undesirable reciprocal forces.
  • More effective and efficient control of rotational, tipping, and leveling mechanics with an .018" archwire at the beginning of treatment.
  • Flexibility and ease of engagement regardless of crowding.
  • Spontaneous distal movement of cuspids during the initial leveling phase in severely crowded extraction cases.
  • Avoidance of incisal tipping or flaring, due to the continuous action of the spring clip and distal movement of the cuspids.
  • No evidence of anchorage loss.
  • A light, continuous level of force, preventing any adverse response of the supporting periodontium.
  • Minimal patient discomfort after initial archwire placement.
  • Fewer patient visits, due to longer archwire activation.

Supercable also has the following disadvantages:

  • Tendency of wire ends to fray if not cut with sharp instruments.
  • Tendency of archwires to break and unravel in extraction spaces or long unsupported spans unless reinforced by .030" stainless steel or plastic tubing.
  • Difficulty of access for placement of Supercable stops distal to second molar tubes in patients with long, narrow dental arches and tight buccinator muscles (this can be resolved by terminating the archwire distal to the second bicuspid or first molar).
  • Inability to accommodate bends, steps, or helices.
  • Tendency of wire ends to migrate distally and occasionally irritate soft tissues as severely crowded or displaced teeth begin to align (such irritation can be relieved by cutting off the excess wire ends and placing new stops, or by replacing the wire with the next size).

Conclusion

Supercable represents the state of the art in both mechanical and material properties. Because it exerts only 36-70% of the force of the most commonly used solid nickel titanium wires, it allows the orthodontist to begin treatment with a larger archwire and to achieve more rapid and precise tooth movements. Its ultra-low force delivery virtually eliminates patient discomfort following initial archwire engagement, even in the most crowded cases.

FOOTNOTES

  • *Trademark of GAC International, Inc., 185 Oval Drive, Central Islip, NY 11722.
  • **Trademark of 3M Unitek, 2724 S. Peck Road, Monrovia, CA 91016.
  • ***Registered trademark of Ormco, 17 17 W. Collins Ave., Orange, CA 92867.
  • †Trademark of Strite Industries Ltd., 298 Shepherd Ave., Cambridge, Ontario, N3C 1 VI Canada.
  • ‡lnstron Corporation, Canton, MA.
  • ††Masel, 2701 Bartram Road, Bristol, PA 19007.

REFERENCES

  • 1.   Burstone, C.J.; Qin, B.; and Morton, J.Y.: Chinese NiTi wire: A new orthodontic alloy, Am. J. Orthod. 87:445-452, 1985.
  • 2.   Kusy, R.P. and Stevens, L.E.: Triple-stranded stainless steel wires: Evaluation of mechanical properties and comparison with titanium alloy alternatives, Angle Orthod. 57:18-32, 1987.
  • 3.   Hanson, G.H.: Personal communications, 1997.
  • 4.   Reitan, K.: Clinical and histological observations on tooth movement during and after orthodontic treatment, Am. J. Orthod. 53:721-745, 1967.
  • 5.   Rygh, P.; Bowling, K.; Hovlandsdal, L.; and Williams, S.: Activation of the vascular system: A mean mediator of periodontal fiber remodeling in orthodontic tooth movement, Am. J. Orthod. 89:453-468, 1986.
  • 6.   Shivapuja, P.K. and Berger, J.L.: A comparative study of conventional ligation and self-ligation bracket systems, Am. J. Orthod. 106:472-480, 1994.
  • 7.   Berger, J.L.: The influence of the SPEED bracket's self-ligating design on force levels in tooth movement: A comparative in vitro study, Am. J. Orthod. 97:219-228, 1990.
  • JEFF
    DR. BERGER
  • FRIEDRICH K.
    DR. BYLOFF
  • TOM
    MR. WARAM

Dr. Berger is a Clinical Associate Professor, Department of Orthodontics, School of Dentistry, University of Detroit Mercy, and in the private practice of orthodontics at 600 Tecumseh Road East, Suite 241, Windsor, Ontario, NBX 4X9 Canada. Dr. Byloff is a part-time clinical instructor at the University of Geneva, Switzerland, and maintains a private orthodontic practice in Graz, Austria. Mr. Waram is a Technical Consultant in Hamilton, Ontario, Canada.

Fig. 1 Case 1. 27-year-old female patient with Class III mandibular prognathism, asymmetrical jaw, and skeletal posterior crossbite before treatment.
Fig. 2 Case 1. A. Gingival third of lower aligner cut away for initial derotation of lower left first premolar on .018" round TMA wire segment. B. .017" × .025" TMA wire segment used with coil spring for extrusion.
Fig. 3 Case 1. Patient after 11 months of treatment, prior to lower impression for Case Refinement series of aligners.
Fig. 4 Case 1. Patient after 14 months of Invisalign treatment.
Fig. 5 Case 1. Model surgery performed to check occlusion before surgery.
Fig. 6 Case 1. Patient six months after maxillary advancement and mandibular osteotomy.
Fig. 7 Case 1. A. Pretreatment ClinCheck views. B. Post-treatment ClinCheck views. C. Superimposition of cephalometric tracings before and after 44 months of treatment.
Fig. 8 Case 2. 29-year-old male patient with Class III maxillary retrognathism, upper crowding, and bilateral posterior crossbite before treatment.
Fig. 9 Case 2. Dolphin software simulation of two-piece maxillary advancement.
Fig. 10 Case 2. A. Presurgical alignment after 27 months of Invisalign treatment. B. Model surgery. C. ClinCheck prediction of final result.
Fig. 11 Case 2. Passive fixed appliances placed three months prior to surgery.
Fig. 12A Case 2. A. Patient six months after surgery, with lower aligner cut distal to second premolars and intermaxillary elastics used to close posterior open bite.
Fig. 12BC Case 2. B. Superimposition of cephalometric tracings before and after surgery. C. Superimposition of treatment simulation (red) and actual results.
Fig. 13 Eight miniscrews inserted for intermaxillary fixation with elastics. [Ref. 30]

FOOTNOTES

REFERENCES 2

DR. ROBERT L. BOYD DDS, MED

DR. ROBERT L. BOYD DDS, MED

My Account

This is currently not available. Please check back later.

Please contact heather@jco-online.com for any changes to your account.