Favorite Saved

Treatment of Deep Bite with Bonded Biteplanes

Fools' Paradise?

Much has been said lately about the good old days of orthodontics--the Golden Age of Orthodontics. Certainly it was a time when there was an abundance of patients and when orthodontists' busyness was nearly optimum. But not everything was golden about this era. In one important respect--instrument sterilization--orthodontists were living in a fools' paradise.

In the '50s and '60s the standard procedure was to wash the instruments in soap and water and then wipe them with an alcohol sponge. If the office was high tech, the instruments might be soaked for 10 minutes in a week-old solution of Zephiran chloride. It has taken the AIDS and hepatitis epidemics to focus the collective attention of health professionals on asepsis, but it is an emphasis that is long past due.

Hepatitis and AIDS are deadly diseases that are no longer geographically or socially isolated, and they are transmissible through body fluids. There is no doubt that the hepatitis virus can be passed along through saliva contamination. And although it is currently doubted that the AIDS virus can be transmitted similarly, how many of us would willingly expose ourselves to the risk?

We owe ourselves, our staffs, and our patients the maximum protection possible. I recently read of a dentist who passed the hepatitis virus to 10 patients, two of whom died. The dentist has since stopped practicing, but it is doubtful that his legal problems have stopped.

Most of us use one kind or another of cold sterilant. Although the aldehydes, hypochlorites, phenols, and quats are more effective than alcohol or Zephiran chloride, they should not be considered bacteriocidal, viricidal, fungicidal, or sporicidal as dentists use them.

Chlorine dioxide (Exspor) is the only exception I know of among cold sterilants, and its use in dentistry is limited to plastic or nonmetallic materials because of its corrosive effect on stainless steel. Nevertheless, its toxicity is comparatively low, it is non-irritating to skin and mucous membranes, and it should be an important part of the orthodontist's armamentarium. Yet I find few colleagues who use or even know about Exspor (available from Alcide Corp., Norwalk, CT).

Other techniques, such as glass beads and ultrasonic vibration of cold sterilants, have been proven effective, but only under limited conditions. It seems to me that if orthodontists are going to be serious about instrument sterilization, they will have to rely on the only certain technique available--autoclaving with chemical vapor. (Autoclaving with steam is equally effective, but the steam can corrode metal instruments.)

Implementation of an autoclaving system will not be inexpensive. Large vapor autoclaves cost almost $3,000. More instruments will be needed, and perhaps more staff, but we can hardly ignore the possibility of contamination any longer.

As important as sterilized instruments are in breaking the disease chain, the key to an office hygiene program is cleanliness of hands. A three-minute surgical scrub is not practical for most offices, and our hands could probably not withstand the torture of such constant scrubbing. Still, we must use an antimicrobial soap that kills pathogens. Wearing gloves reduces the skin damage from these effective, but harsh, cleansers.

It probably isn't reasonable to change gloves between patients. Tight-fitting gloves have fewer crevices than skin, fingernails, and nail beds, and are more easily and effectively washed than bare hands.

The main deterrent to wearing gloves is the loss of digital dexterity, but this can be overcome with practice. Latex gloves fit more snugly than vinyl plastic ones. However, they become sticky after one washing, and impossible to work with unless they are dusted with talcum powder. This is why I prefer plastic gloves, but everyone will have to decide based on individual priorities.

We know orthodontic offices can never be as pathogen-free as hospital surgery rooms. They don't need to be. But it is past time to be more diligent about sterilization. We need it, our staff and patients deserve it--and state examining boards or insurance companies may soon demand it.

Fig. 1 Bonded biteplane design.
Fig. 2 Wax form for pouring composite on model.
Fig. 3 Block of composite on model.
Fig. 4 Biteplanes after trimming and shaping.
Fig. 5 Indirect transfer tray.
Fig. 6A A. Biteplanes after bonding (some silicone has not yet been removed). B. Different patient after attachment of brackets.
Fig. 6B A. Biteplanes after bonding (some silicone has not yet been removed). B. Different patient after attachment of brackets.
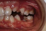
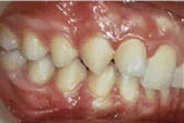
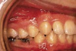
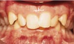
Fig. 7A1 10-year-old Class I patient with deep bite.
Fig. 7A2 10-year-old Class I patient with deep bite.
Fig. 7A3 10-year-old Class I patient with deep bite.
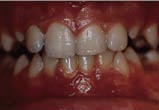
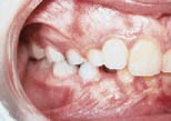
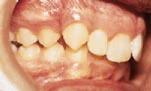
Fig. 7B1 After bonding of biteplanes.
Fig. 7B2 After bonding of biteplanes.
Fig. 7B3 After bonding of biteplanes.
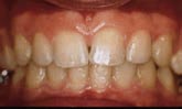
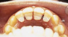
Fig. 7C1 Six months later.
Fig. 7C2 Six months later.
Fig. 7C3 Six months later.
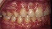
Fig. 7D1 After only eight months of treatment with conventional fixed appliances.
Fig. 7D2 After only eight months of treatment with conventional fixed appliances.
Fig. 7D3 After only eight months of treatment with conventional fixed appliances.
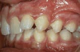
Fig. 8A1 12-year-old Class II patient with deep bite.
Fig. 8A2 12-year-old Class II patient with deep bite.
Fig. 8B Biteplanes extended as far palatally as possible to allow for overjet.
Fig. 8C Mandibular arch bonded to establish more anterior contact with biteplanes and to allow early placement of Class II elastics.
Fig. 8D1 Auxiliary arch for Class II elastics. Maxillary molars are tipped back and extruded, but maxillary incisors are not intruded by elastics [Ref. 4].
Fig. 8D2 Auxiliary arch for Class II elastics. Maxillary molars are tipped back and extruded, but maxillary incisors are not intruded by elastics [Ref. 4].
Fig. 8E After molar distalization, maxillary arch can be aligned, without incisor flaring that would have occurred if incisors had been bracketed earlier.
Fig. 8F1 Class II elastics continued without extrusion of maxillary incisors.
Fig. 8F2 Class II elastics continued without extrusion of maxillary incisors.
Fig. 8G1 After removal of bonded biteplanes and placement of bonded lingual retainers. Mandibular molar attachments are left for night-time placement of 5/8" buccal elastics across entire arch.
Fig. 8G2 After removal of bonded biteplanes and placement of bonded lingual retainers. Mandibular molar attachments are left for night-time placement of 5/8" buccal elastics across entire arch.
Fig. 8G3 After removal of bonded biteplanes and placement of bonded lingual retainers. Mandibular molar attachments are left for night-time placement of 5/8" buccal elastics across entire arch.

JULIEN PHILIPPE, DCD, DSO

JULIEN PHILIPPE, DCD, DSO
Dr. Philippe is a Professor of Dentofacial Orthopedics, College of Dentistry, University of Paris VII, and in the private practice of orthodontics at 44, rue Jean Goujon, 75008 Paris, France.

My Account

This is currently not available. Please check back later.

Please contact heather@jco-online.com for any changes to your account.