Favorite Saved

JCO Interviews Dr. G. Herbert Hanson on the SPEED Bracket

DR. WHITE Why did you feel the profession needed a new bracket?

DR. HANSON Twenty-five years ago, when I first observed bracket ligation with wires, it impressed me as being a very cumbersome and unpleasant procedure. When it became apparent that no better alternative had yet been found, I resolved to one day design a fixed appliance system that would not require ligatures. Once I became immersed in the design and development work, I could see that other improvements were going to be possible. To my delight, some of them have turned out to be more significant than the nonligating feature I originally sought.

DR. WHITE How long ago did you actually develop the bracket?

DR. HANSON By 1971 I had a few primitive prototypes ready for testing. But since 1976 a more or less continuous process of design optimization has been carried out in collaboration with Strite Industries and OREC Corporation.

DR. WHITE One of the first complaints I heard about this bracket was that the spring was not stiff enough, and that the archwire would pop out if there were a lot of deflection. Have you changed that?

DR. HANSON The latest generation of SPEED brackets will not permit archwire escape even under high transient stresses such as those caused by biting on pens or pencils. However, deliberate release of the archwire is still very easy for the operator if he or she employs the appropriate instrument.

DR. WHITE One of the outstanding features of the SPEED bracket seems to be its small size.

DR. HANSON Present production bracket-pad assemblies are very small, but we have proven through clinical experimentation over the past two years that an additional size reduction of about 30 percent is possible without any loss of effectiveness. This is already being done on a limited scale.

[show_img]183-jco-img-1.jpg[/show_img]

Archwire rotation (top) in SPEED bracket. Spring clip is deflected labially, resulting in storage of appropriate energy for recovery (bottom).

DR. WHITE What's the purpose in reducing the size of the bracket?

DR. HANSON Cosmetics, primarily, but also to make it even more hygienic and comfortable for the patient. Furthermore, I have found that it is easier to visually assess the position and orientation of the archwire slots of the miniature version. I attribute this partly to the fact that less of the tooth is obscured by the bracket.

DR. WHITE Do you feel this bracket prevents people from picking at their appliances?

DR. HANSON I don't find this to be a problem. Perhaps it's because there is so little to pick at. Many patients have said the bracket's shape and size make it more comfortable, and we are rounding all the corners and edges even more so they will not irritate even the most sensitive oral tissues. I know that many of my own patients appreciate our efforts to make their appliances more comfortable and cosmetic. They have demonstrated this by referring a growing number of their friends.

DR. WHITE Does a smaller bracket base make the bracket more susceptible to breaking or shearing off?

DR. HANSON On the contrary, these miniature brackets have proven to be less vulnerable. This is largely attributable to the special sintered porous metal coating we are using on their bases. It consists of irregular microscopic stainless steel particles fused together and to the bracket base to create a network of pores for a stronger adhesive grip. A study done in 1983 (AJO, January 1983) revealed that bond strength at the resin-metal interface could be increased by approximately 100 percent by substituting the sintered porous metal powder for traditional foil mesh. This sintered porous metal backing is not yet a standard feature, but it is available on special request.

Unfortunately, manufacturing costs are still high and it is a premium item. Once the process has been automated it should be economically feasible to coat all our attachments this way.

DR. WHITE Is the SPEED appliance preadjusted?

DR. HANSON Yes, it is totally preadjusted with torque, tip, and standoff built into each attachment. Various torque prescriptions are available to suit individual preferences. I recently examined the finishing archwires of 50 consecutive cases, and more than 60 percent had no bends whatsoever.

DR. WHITE Aside from no ligation, what other advantages does the SPEED bracket offer?

DR. HANSON It is particularly well suited to sliding mechanics. Each attachment can be more accurately described as a double tube when its spring clip is in the closed position. Although the system is not frictionless, the amount of frictional drag is less than with ligatures. Other advantages are ease of archwire insertion and removal, less tendency to accumulate plaque and debris, suitability for bonding small or partially erupted teeth, and compatibility with a large variety of removable appliances. Also, narrow single brackets provide for longer spans of archwire between teeth for greater torquing and rotating efficiency.

DR. WHITE How can you rotate without any wings on the appliance?

[show_img]183-jco-img-2.jpg[/show_img] Sliding mechanics with F.1 hooks and the SPEED appliance. The .040" Johnson tube spanning the lower extraction site protects the archwire from functional stresses.

[show_img]183-jco-img-4.jpg[/show_img]

Aligning rotations with .016" braided sectional wire in the auxiliary slot.

DR. HANSON To understand why narrow single SPEED brackets can rotate large teeth, it is necessary to carefully examine their design. Those interested can refer to my article on the subject (AJO, January 1980). Most rotations are accomplished through the mutual action of the spring clip and the archwire. Both undergo elastic deformation; they store strain energy, and eventually convert it to rotational movement. If a tooth is turned more than 45°, I will often use a flexible rotating lever

made from .016" X .016" braided wire anchored in the auxiliary slot of the bracket. This has proven to be a very efficient way of handling severe rotations. |

DR. WHITE Does the rotation happen quickly?

DR. HANSON Teeth will rotate quickly unless they are wedged together in tight contact, in which case the response may be delayed until sufficient space has been created.

[show_img]183-jco-img-6.jpg[/show_img]

Preformed SPEED hooks in brackets.

DR. WHITE Is it possible to use elastomeric chains with this bracket?

DR. HANSON They can be placed underneath the archwire, but I prefer to use elastomerics with the various SPEED hooks. These hooks can also be used to attach intermaxillary elastics. SPEED hooks secured into the auxiliary slots are equivalent to Kobayashi hooks, and there is an easy method of removing them if desired.

DR. WHITE Please describe the auxiliary slot a bit more.

DR. HANSON It runs parallel to the archwire slot, but is positioned more occlusally and lingually. Unlike the archwire slot, it remains a tube even when the spring clip is in the open position. Its dimensions permit a close tolerance fit for auxiliary components made from .016" square wire to minimize undesirable swiveling. The auxiliary slot gives the bracket an added amount of versatility.

DR. WHITE Could you use the auxiliary slot to hold a wire ligature or a thin elastic thread?

DR. HANSON I use them quite frequently to secure the arch with a ligature when I don't want full archwire engagement. I have not found it practical to thread fine elastic through the auxiliary slots. It is far easier to insert a SPEED hook and then tie the thread to it.

DR. WHITE What size brackets are available with the SPEED appliance?

DR. HANSON They are available with .018" or .022" slots. I have come to like .022" attachments for the lower arch, while I continue to use .018" slots in maxillary brackets. I started using .022" lower brackets several years ago to become acquainted with that dimension, partly at the urging of some of my colleagues. I now consider them better than the .018" brackets because of the added flexibility they provide in archwire selection. I have also found them to be more efficient for alignment, leveling, and even for sliding mechanics. I continue to use .018" brackets in the upper arch because they are slightly smaller.

[show_img]183-jco-img-7.jpg[/show_img] SPEED appliance with spring clip in open position.

DR. WHITE How can you differentiate between the various brackets?

DR. HANSON All brackets are color-coded according to quadrant. In addition, each bracket pad assembly has clearly distinguishing features that can be identified with a magnifying glass.

DR. WHITE Do you have molar tubes that go with the SPEED brackets?

DR. HANSON The Strite-OREC lower molar tubes have a low profile and unique pad shape that allow them to be securely bonded to even partially erupted teeth. Because these tubes hold the archwire very close to the tooth surface, it has been possible to eliminate the need for any first-order bends between lower molars and bicuspids.

DR. WHITE I notice that in most of your patient photos you have tubes bonded to lower molars. Do you not band molars?

[show_img]183-jco-img-9.jpg[/show_img]

Threading ligature wire through auxiliary slot.

DR. HANSON In a recent review of my records, I found that I had banded only two teeth out of more than 1500 to which attachments were added in a three-month period. Although three bond failures-- all second bicuspids-- have occurred in this group to date, not a single molar attachment has come off yet. I definitely feel the era of molar bonding has arrived.

DR. WHITE if you need headgear, you don't bond those tubes, do you?

DR. HANSON I have bonded headgear tubes, but I feel more secure about using bands for this purpose. The fact is that I rarely use headgear any more. I prefer to use distalizing mechanics in conjunction with very light intermaxillary elastics or with thin plastic "stay plates".

DR. WHITE What do you think is the cause of most bond failures?

DR. HANSON I think there is a multiplicity of factors, and I certainly have had many bond failures in the past. In fact, I still would like my rate of second bicuspid bond failures reduced. The causes I would list are, first, poor fit of the bracket base to the tooth the adhesive layer should be as uniform and thin as possible. It is easier to achieve a good fit with smaller bases. Second, I would say disturbance of the adhesive joint during the critical gel phase of polymerization; third, occlusal interference; fourth, inadequate mechanical gripping of the adhesive to the bonding base; and fifth,

voids or gaps in the adhesive, particularly at the periphery. I routinely bank or feather the edges of the adhesive joint with think composite resin developed for indirect bonding.

DR. WHITE Do you have any adhesive preference?

DR. HANSON I use three-minute set Phase II for direct bonding of attachments and then add a small amount of the thinner Excel to create a good streamlined peripheral seal. This eliminates a lot of potential stress raisers.

DR. WHITE Is there any danger of clogging the spring slots with the thin adhesive?

DR. HANSON Yes, there is, and my assistants often wax these. This must be done carefully to be certain that no wax is smeared onto the lingual surface of the base.

DR. WHITE Do you have any trouble using sectional arches with this mechanism?

DR. HANSON Not at all. In fact, I use sectionals routinely for initial alignment in extraction cases. I will frequently retract upper first bicuspids and canines into second bicuspid extraction spaces using sectionals, so that no incisor attachments are needed initially. In this way adults are not required to wear incisor brackets for the first nine months or so of treatment.

DR. WHITE What is the level of acceptance among orthodontists of the SPEED bracket?

DR. HANSON There has been a lot of resistance, but it is starting to wane as more orthodontists become informed about the appliance. The successful users of the SPEED system are beginning to have an influence on their colleagues. This is creating a type of chain reaction which, I am certain, will lead to wide acceptance over the next several years.

DR. WHITE What about the person who would like to slowly integrate this into a practice? Will the orthodontist have any trouble using it with other edgewise appliances?

DR. HANSON That's the way I started. In fact, many SPEED bracket users started by phasing them into their edgewise strap-ups slowly. Typically, a first-time user will bond six upper anterior SPEED brackets in conjunction with edgewise brackets on the remaining teeth. After becoming comfortable with using these small attachments on incisors and canines, the operator can begin to extend their use farther distally until a complete conversion to the technique has been made.

DR. WHITE Can these brackets be recycled?

DR. HANSON I would advise against recycling because of the danger of carburizing the prestressed stainless steel spring clips. The only time I ever observed brittle fracture of the springs was after I recycled them.

DR. WHITE Have you found that the SPEED bracket has shortened your treatment time?

DR. HANSON Yes, I have. To give you an idea, I now routinely estimate 18 months where I used to estimate 24 months. The active phase of treatment has been reduced by about six months, notwithstanding the fact that ) often achieve my treatment objectives two to three months before the attachments are removed. I think there is a distinct advantage to having the appliances remain passively in place for several months before making the transition to retainers.

DR. WHITE Herb, I and our readers thank you for this generous explanation of the SPEED bracket.

Fig. 1 Wire with first helix measured for placement of second helix.
Fig. 2 Second helix formed and legs of spring marked for appropriate height of bends.
Fig. 3 Legs of spring bent into J-hooks and excess wire cut off.
Fig. 4 Placement and activation of bi-helix opening spring.
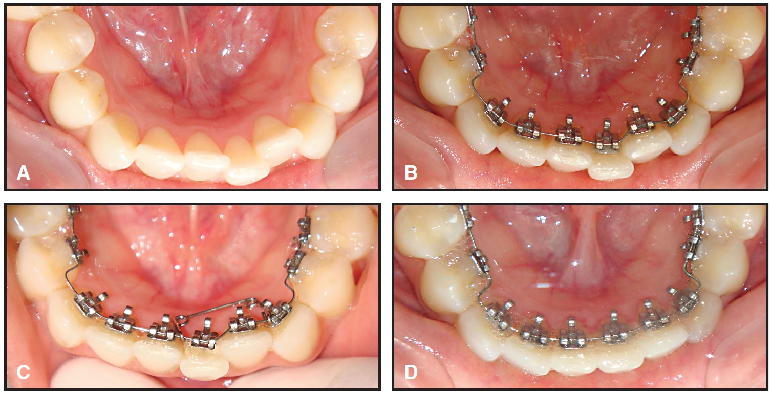
Fig. 5 Case 1. A. 45-year-old male patient with 4mm of lower anterior crowding and lingually displaced lower left central incisor. B. Lingual brackets and .012" nickel titanium archwire in place. C. Space opening and alignment four weeks after placement of bi-helix opening spring. D. Spring reactivated eight weeks after placement. E. Spring removed 12 weeks after placement. F. Alignment and spontaneous closure of overcorrection four weeks after spring removal.
Fig. 6 Case 2. A. 29-year-old female patient with 4mm of lower anterior crowding, lingually displaced lower left lateral incisor, and labially displaced lower left central incisor. B. Lingual brackets and .012" nickel titanium archwire in place. C. Bi-helix opening spring spanning both displaced incisors. D. Eight weeks later, alignment nearly complete.
Fig. 7 Case 3. A. 54-year-old male patient with upper anterior crowding and lingually displaced upper right lateral incisor. B. Lingual brackets, .012" nickel titanium archwire, and bi-helix opening spring in place. C. Space opening and alignment four weeks after initial activation. D. Intraoral reactivation of spring with Tweed loop-forming plier. E. Further space opening and alignment four weeks after reactivation of spring.

FOOTNOTES

LARRY W. WHITE, DDS, MSD

LARRY W. WHITE, DDS, MSD

DR. G. HERBERT HANSON

DR. G. HERBERT HANSON
Dr. G. Herbert Hanson, the developer of the SPEED bracket (OREC Corporation, San Clemente, CA), is an Associate in Dentistry, Graduate Orthodontic Department, University of Toronto. He is in the private practice of orthodontics at 57 Augusta St., Hamilton, Ontario, L8N 1P8 Canada

My Account

This is currently not available. Please check back later.

Please contact heather@jco-online.com for any changes to your account.